BATF3 抗体 (N-Term)
Our Local Distributor
北京 101111
Quick Overview for BATF3 抗体 (N-Term) (ABIN2617490)
抗原
See all BATF3 抗体适用
宿主
克隆类型
标记
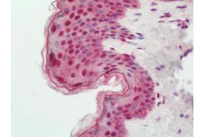
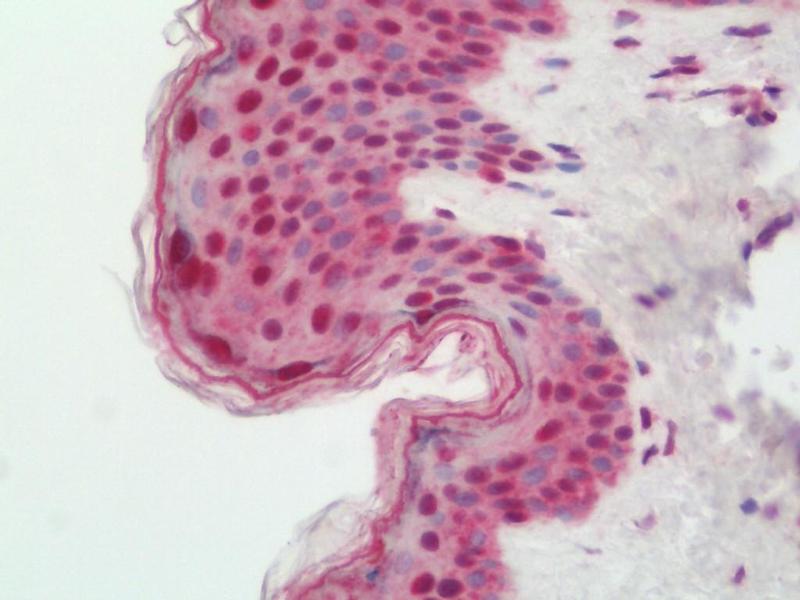
应用范围
-
-
抗原表位
- N-Term
-
特异性
- BATF3 antibody is human, mouse and rat reactive. BATF3 antibody is predicted to have no cross-reactivity to other BATF family members.
-
纯化方法
- Immunoaffinity purified
-
亚型
- IgG
-
-
-
-
应用备注
- Approved: ELISA, IF, IHC, IHC-P (10 μg/mL), WB (1 - 2 μg/mL)
-
说明
-
Target Species of Antibody: Human
-
限制
- 仅限研究用
-
-
-
状态
- Liquid
-
浓度
- Lot specific
-
缓冲液
- PBS, 0.02 % sodium azide.
-
储存液
- Sodium azide
-
注意事项
- This product contains Sodium azide: a POISONOUS AND HAZARDOUS SUBSTANCE which should be handled by trained staff only.
-
注意事项
- Avoid repeat freeze-thaw cycles.
-
储存条件
- 4 °C,-20 °C
-
储存方法
- Store at 4°C for 3 months and -20°C, stable for up to 1 year. Avoid repeated freeze-thaw cycles.
-
有效期
- 12 months
-
-
- BATF3 (Basic Leucine Zipper Transcriptional Factor ATF-Like 3 (BATF3))
-
别名
- BATF3
-
背景
-
Name/Gene ID: BATF3
Synonyms: BATF3, JUNDM1, JDP1, Jun dimerization protein 1, B-ATF-3, SNFT -
基因ID
- 55509
抗原
-