电话:
+86 (0512) 65829739
传真:
+86 (010) 6788 5057
电子邮件:
orders@antibodies-online.cn

IL17D 抗体 (Internal Region)

This 山羊 多克隆 antibody specifically detects IL17D in ELISA, WB 和 IHC. It exhibits reactivity toward 人.
产品编号 ABIN2613440
发货至: 中国
Contact our Customer Service for availability and price in your country. Contact Info

Our Local Distributor

中国
北京 101111
No. 88 KeChuang 6th Street
Beijing Economic Technological Development Area
Room 801-803
4A Biotech Co.,Ltd.
Tel +86 (0512) 65829739 传真 +86 (010) 6788 5057

Quick Overview for IL17D 抗体 (Internal Region) (ABIN2613440)

抗原

See all IL17D 抗体
IL17D (Interleukin 17D (IL17D))

适用

  • 51
  • 16
  • 3
  • 2
  • 2
  • 1
  • 1

宿主

  • 47
  • 4
  • 4
  • 1
山羊

克隆类型

  • 48
  • 8
多克隆

标记

  • 33
  • 5
  • 4
  • 3
  • 3
  • 2
  • 1
  • 1
  • 1
  • 1
  • 1
  • 1
This IL17D antibody is un-conjugated

应用范围

  • 32
  • 31
  • 16
  • 5
  • 4
  • 3
  • 3
  • 1
  • 1
  • 1
  • 1
ELISA, Western Blotting (WB), Immunohistochemistry (IHC)

质量等级

Verified
  • 抗原表位

    • 8
    • 6
    • 5
    • 4
    • 3
    • 3
    • 2
    • 2
    • 2
    • 1
    • 1
    • 1
    • 1
    • 1
    • 1
    • 1
    Internal Region

    原理

    IL-17D

    序列

    EKDADSINSS IDK

    交叉反应

    纯化方法

    Purified from goat serum by ammonium sulphate precipitation followed by antigen affinity chromatography using the immunizing peptide.

    亚型

    IgG
  • 应用备注

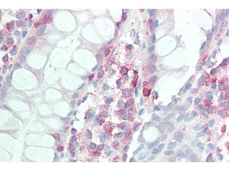
    Immunohistochemistry: Paraffin embedded Human Colon. Recommended concentration: 5 μg/mL.

    Western Blot: Approx 28 kDa band observed in Human Adipose lysates (calculated MW of 21.9 kDa according to NP_612141.1). The observed molecular weight corresponds to the glycosylated form. Recommended concentration: 0.3-1 μg/mL. Primary incubation was 1 hou

    Peptide ELISA: antibody detection limit dilution 1:128000.

    限制

    仅限研究用
  • 状态

    Liquid

    浓度

    0.5 mg/mL

    缓冲液

    Supplied at 0.5 mg/mL in Tris saline, 0.02 % sodium azide, pH 7.3 with 0.5 % bovine serum albumin.

    储存液

    Sodium azide

    注意事项

    This product contains Sodium azide: a POISONOUS AND HAZARDOUS SUBSTANCE which should be handled by trained staff only.

    注意事项

    Minimize freezing and thawing.

    储存条件

    -20 °C

    储存方法

    Aliquot and store at -20°C, with minimal freeze/thawing. A working aliquot may be refrigerated at 4°C for a few weeks and still remain viable.
  • 抗原

    IL17D (Interleukin 17D (IL17D))

    别名

    IL17D

    背景

    IL17D, interleukin 17D, IL-17D, IL-22, IL-27, IL27, interleukin 27, interleukin-17D, interleukin-27

    基因ID

    53342

    NCBI登录号

    NP_612141

    途径

    Cellular Response to Molecule of Bacterial Origin
You are here: