ASIC1 抗体 (C-Term)
Our Local Distributor
北京 101111
Quick Overview for ASIC1 抗体 (C-Term) (ABIN2613387)
抗原
See all ASIC1 (ACCN2) 抗体适用
宿主
克隆类型
标记
应用范围
质量等级
-
-
抗原表位
- C-Term
-
原理
- ASIC1
-
序列
- NILPHHPARG T
-
特异性
- This antibody is expected to recognize all reported isoforms (NP_064423.2, NP_001086.2, NP_001243759.1).
-
交叉反应
- Cow, 犬, 人, 小鼠, Pig, 大鼠
-
纯化方法
- Purified from goat serum by ammonium sulphate precipitation followed by antigen affinity chromatography using the immunizing peptide.
-
亚型
- IgG
-
-
-
-
应用备注
-
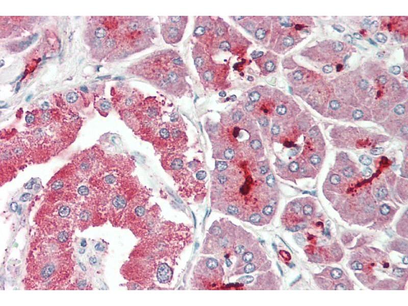
Immunohistochemistry: Paraffin embedded Human Brain (Cortex) and Pancreas. Recommended concentration: 5 μg/mL.
Western Blot: Approx 70 kDa band observed in Mouse fetal Brain lysates (calculated MW of 64.8 kDa according to NP_064423.2). Recommended concentration: 0.3-1 μg/mL. Primary incubation was 1 hour.
Peptide ELISA: antibody detection limit dilution 1:128000.
-
限制
- 仅限研究用
-
-
-
状态
- Liquid
-
浓度
- 0.5 mg/mL
-
缓冲液
- Supplied at 0.5 mg/mL in Tris saline, 0.02 % sodium azide, pH 7.3 with 0.5 % bovine serum albumin.
-
储存液
- Sodium azide
-
注意事项
- This product contains Sodium azide: a POISONOUS AND HAZARDOUS SUBSTANCE which should be handled by trained staff only.
-
注意事项
- Minimize freezing and thawing.
-
储存条件
- -20 °C
-
储存方法
- Aliquot and store at -20°C, with minimal freeze/thawing. A working aliquot may be refrigerated at 4°C for a few weeks and still remain viable.
-
-
- ASIC1 (ACCN2) (Amiloride-Sensitive Cation Channel 2, Neuronal (ACCN2))
-
别名
- ASIC1
-
背景
- ASIC1, acid-sensing (proton-gated) ion channel 1, ACCN2, ASIC, BNaC2, Cation channel, amiloride-sensitive, neuronal, 2, acid-sensing ion channel 1, acid-sensing ion channel 1a protein, amiloride-sensitive cation channel 2, neuronal, brain sodium channel 2
-
基因ID
- 41, 11419, 79123
-
NCBI登录号
- NP_064423, NP_001086, NP_001243759
抗原
-