ODF2L 抗体 (AA 543-572)
Our Local Distributor
北京 101111
Quick Overview for ODF2L 抗体 (AA 543-572) (ABIN2581816)
抗原
适用
宿主
克隆类型
标记
应用范围
-
-
抗原表位
- AA 543-572
-
特异性
- This ODF2L antibody is generated from rabbits immunized with a KLH conjugated synthetic peptide between 543-572 amino acids from the C-terminal region of human ODF2L.
-
纯化方法
- Affinity purified
-
亚型
- IgG
-
-
-
-
应用备注
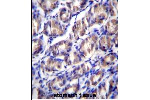
- Approved: ELISA (1:1000), IHC (1:10 - 1:50), WB (1:100 - 1:500)
-
说明
-
Target Species of Antibody: Human
-
限制
- 仅限研究用
-
-
-
状态
- Liquid
-
浓度
- Lot specific
-
缓冲液
- PBS, pH 7.2, 0.09 % sodium azide.
-
储存液
- Sodium azide
-
注意事项
- This product contains Sodium azide: a POISONOUS AND HAZARDOUS SUBSTANCE which should be handled by trained staff only.
-
注意事项
- Aliquot to avoid repeated freezing and thawing.
-
储存条件
- 4 °C,-20 °C
-
储存方法
- May be stored at 4°C for short-term only. Aliquot to avoid freeze-thaw cycles. Store at -20°C. Aliquots are stable for 1 year.
-
-
- ODF2L (Outer Dense Fiber of Sperm Tails 2-Like (ODF2L))
-
别名
- ODF2L
-
背景
-
Name/Gene ID: ODF2L
Synonyms: ODF2L, DJ977L11.1, RP5-977L11.1, KIAA1229 -
基因ID
- 57489
抗原
-