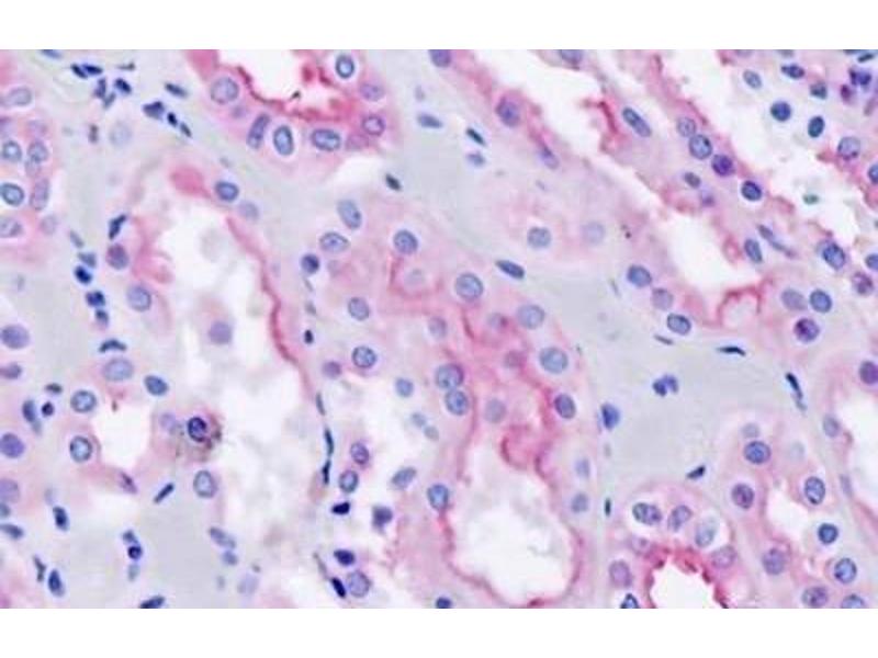
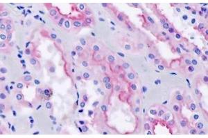
RAB4B 抗体 (AA 29-58)
Our Local Distributor
北京 101111
Quick Overview for RAB4B 抗体 (AA 29-58) (ABIN2578025)
抗原
See all RAB4B 抗体适用
宿主
克隆类型
标记
应用范围
-
-
抗原表位
- AA 29-58
-
特异性
- This RAB4B antibody is generated from rabbits immunized with a KLH conjugated synthetic peptide between 29-58 amino acids from the N-terminal region of human RAB4B.
-
纯化方法
- Protein A purified
-
-
-
-
应用备注
- Approved: IHC, IHC-P (5 μg/mL), WB (1:1000)
-
说明
-
Target Species of Antibody: Human
-
限制
- 仅限研究用
-
-
-
状态
- Liquid
-
浓度
- Lot specific
-
缓冲液
- PBS with 0.09 % (w/v) sodium azide
-
储存液
- Sodium azide
-
注意事项
- This product contains Sodium azide: a POISONOUS AND HAZARDOUS SUBSTANCE which should be handled by trained staff only.
-
储存条件
- 4 °C,-20 °C
-
储存方法
- Maintain refrigerated at 2-8°C for up to 6 months. For long term storage store at -20°C.
-
有效期
- 6 months
-
-
- RAB4B (RAB4B, Member RAS Oncogene Family (RAB4B))
-
别名
- RAB4B
-
背景
-
Name/Gene ID: RAB4B
Subfamily: RAS oncogene
Family: Ras GTPase superfamily IPR001806
Synonyms: RAB4B, Ras-related protein Rab-4B -
基因ID
- 53916
-
UniProt
- P61018
抗原
-