电话:
+86 (0512) 65829739
传真:
+86 (010) 6788 5057
电子邮件:
orders@antibodies-online.cn

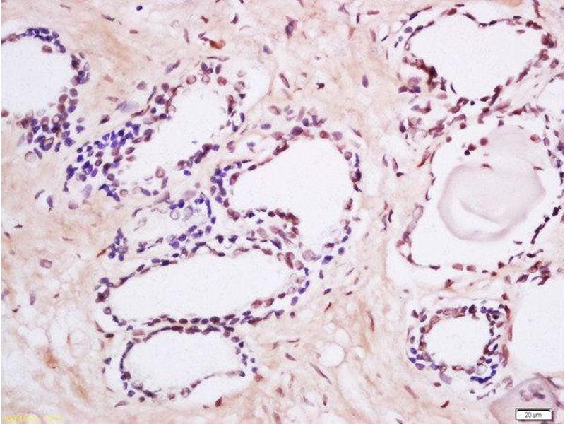
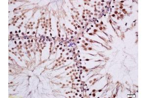
MAK 抗体 (pTyr159)

The 兔 多克隆 anti-MAK antibody is suitable to detect MAK in samples from 人, 大鼠 和 小鼠. It has been validated for WB, ELISA, IF (cc), IF (p), IHC (p), IHC (fro) 和 ICC.
产品编号 ABIN2559531
发货至: 中国
Contact our Customer Service for availability and price in your country. Contact Info

Our Local Distributor

中国
北京 101111
No. 88 KeChuang 6th Street
Beijing Economic Technological Development Area
Room 801-803
4A Biotech Co.,Ltd.
Tel +86 (0512) 65829739 传真 +86 (010) 6788 5057

Quick Overview for MAK 抗体 (pTyr159) (ABIN2559531)

抗原

See all MAK 抗体
MAK (Male Germ Cell-Associated Kinase (MAK))

适用

  • 62
  • 40
  • 34
  • 2
  • 1
  • 1
  • 1
  • 1
  • 1
人, 大鼠, 小鼠

宿主

  • 74
  • 3

克隆类型

  • 74
  • 3
多克隆

标记

  • 29
  • 6
  • 5
  • 5
  • 2
  • 2
  • 2
  • 2
  • 2
  • 2
  • 2
  • 2
  • 2
  • 2
  • 2
  • 2
  • 2
  • 1
  • 1
  • 1
  • 1
  • 1
  • 1
This MAK antibody is un-conjugated

应用范围

  • 67
  • 32
  • 25
  • 25
  • 12
  • 7
  • 5
  • 4
  • 1
  • 1
  • 1
Western Blotting (WB), ELISA, Immunofluorescence (Cultured Cells) (IF (cc)), Immunofluorescence (Paraffin-embedded Sections) (IF (p)), Immunohistochemistry (Paraffin-embedded Sections) (IHC (p)), Immunohistochemistry (Frozen Sections) (IHC (fro)), Immunocytochemistry (ICC)
  • 抗原表位

    • 16
    • 15
    • 9
    • 9
    • 7
    • 6
    • 2
    • 2
    • 2
    • 1
    • 1
    • 1
    • 1
    • 1
    • 1
    pTyr159

    交叉反应

    人, 小鼠, 大鼠

    纯化方法

    Purified by Protein A.

    免疫原

    KLH conjugated synthetic phosphopeptide derived from human MAK around the phosphorylation site of Tyr159

    亚型

    IgG
  • 应用备注

    WB 1:300-5000
    ELISA 1:500-1000
    IHC-P 1:200-400
    IHC-F 1:100-500
    IF(IHC-P) 1:50-200
    IF(IHC-F) 1:50-200
    IF(ICC) 1:50-200
    ICC 1:100-500

    限制

    仅限研究用
  • 状态

    Liquid

    浓度

    1 μg/μL

    缓冲液

    0.01M TBS( pH 7.4) with 1 % BSA, 0.02 % Proclin300 and 50 % Glycerol.

    储存液

    ProClin

    注意事项

    This product contains ProClin: a POISONOUS AND HAZARDOUS SUBSTANCE, which should be handled by trained staff only.

    储存条件

    4 °C,-20 °C

    储存方法

    Shipped at 4°C. Store at -20°C for one year. Avoid repeated freeze/thaw cycles.

    有效期

    12 months
  • 抗原

    MAK (Male Germ Cell-Associated Kinase (MAK))

    别名

    MAK

    背景

    Synonyms: RP62, dJ417M14.2, Serine/threonine-protein kinase MAK, Male germ cell-associated kinase, MAK

    Background: Essential for the regulation of ciliary length and required for the long-term survival of photoreceptors (By similarity). Phosphorylates FZR1 in a cell cycle-dependent manner. Plays a role in the transcriptional coactivation of AR. Could play an important function in spermatogenesis. May play a role in chromosomal stability in prostate cancer cells.

    基因ID

    4117

    UniProt

    P20794
You are here: