电话:
+86 (0512) 65829739
传真:
+86 (010) 6788 5057
电子邮件:
orders@antibodies-online.cn

EVI2B 抗体 (AA 151-250)

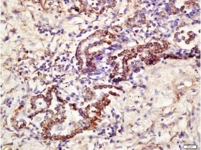
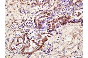
The 兔 多克隆 anti-EVI2B antibody (ABIN2559469) specifically detects EVI2B in WB, ELISA, IF (cc), IF (p), IHC (fro), IHC (p) 和 ICC. The antibody is reactive with 人 和 小鼠 samples.
产品编号 ABIN2559469
发货至: 中国
Contact our Customer Service for availability and price in your country. Contact Info

Our Local Distributor

中国
北京 101111
No. 88 KeChuang 6th Street
Beijing Economic Technological Development Area
Room 801-803
4A Biotech Co.,Ltd.
Tel +86 (0512) 65829739 传真 +86 (010) 6788 5057

Quick Overview for EVI2B 抗体 (AA 151-250) (ABIN2559469)

抗原

See all EVI2B 抗体
EVI2B (Ecotropic Viral Integration Site 2B (EVI2B))

适用

  • 41
  • 22
  • 3
  • 2
  • 2
  • 2
  • 2
  • 2
  • 1
人, 小鼠

宿主

  • 33
  • 8

克隆类型

  • 34
  • 7
多克隆

标记

  • 13
  • 3
  • 2
  • 2
  • 2
  • 2
  • 1
  • 1
  • 1
  • 1
  • 1
  • 1
  • 1
  • 1
  • 1
  • 1
  • 1
  • 1
  • 1
  • 1
  • 1
  • 1
  • 1
This EVI2B antibody is un-conjugated

应用范围

  • 30
  • 13
  • 12
  • 12
  • 7
  • 2
  • 2
  • 2
  • 1
Western Blotting (WB), ELISA, Immunofluorescence (Cultured Cells) (IF (cc)), Immunofluorescence (Paraffin-embedded Sections) (IF (p)), Immunohistochemistry (Frozen Sections) (IHC (fro)), Immunohistochemistry (Paraffin-embedded Sections) (IHC (p)), Immunocytochemistry (ICC)
You are here: