电话:
+86 (0512) 65829739
传真:
+86 (010) 6788 5057
电子邮件:
orders@antibodies-online.cn

TPSAB1 抗体

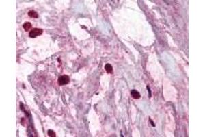
The 小鼠 单克隆 anti-TPSAB1 antibody is suitable to detect TPSAB1 in samples from 人, 大鼠, 犬, Cat 和 猴. It has been validated for WB, IHC 和 ELISA.
产品编号 ABIN2470529
发货至: 中国
Contact our Customer Service for availability and price in your country. Contact Info

Our Local Distributor

中国
北京 101111
No. 88 KeChuang 6th Street
Beijing Economic Technological Development Area
Room 801-803
4A Biotech Co.,Ltd.
Tel +86 (0512) 65829739 传真 +86 (010) 6788 5057

Quick Overview for TPSAB1 抗体 (ABIN2470529)

抗原

See all TPSAB1 抗体
TPSAB1 (Tryptase alpha/beta 1 (TPSAB1))

适用

  • 69
  • 34
  • 16
  • 8
  • 4
  • 1
  • 1
  • 1
人, 大鼠, 犬, Cat, 猴

宿主

  • 73
  • 35
  • 2
  • 1
  • 1
小鼠

克隆类型

  • 75
  • 37
单克隆

标记

  • 62
  • 19
  • 7
  • 4
  • 3
  • 3
  • 1
  • 1
  • 1
  • 1
  • 1
  • 1
  • 1
  • 1
  • 1
  • 1
  • 1
  • 1
  • 1
  • 1
This TPSAB1 antibody is un-conjugated

应用范围

  • 78
  • 51
  • 35
  • 16
  • 14
  • 14
  • 10
  • 8
  • 3
  • 2
  • 2
  • 2
  • 1
  • 1
  • 1
  • 1
Western Blotting (WB), Immunohistochemistry (IHC), ELISA

克隆位点

AA1
  • 特异性

    Recognizes human mast cell tryptase, both alpha and beta isoforms. Is an excellent marker for mast cells, and does not bind to any other cell type in immunohistology.

    纯化方法

    Protein G Column

    免疫原

    Tryptase monoclonal antibody was raised against lug tissue Tryptase (Human).

    亚型

    IgG1
  • 应用备注

    Tryptase antibody can be used in ELISA, and immunohistochemistry starting at 10 μg/mL. This product requires protein digestion pre-treatment of paraffin sections e.g. pronase. Results may also be obtained with this produst using HIER. Sodium citrate buffer pH 6.0 is recommended for this purpose.

    限制

    仅限研究用
  • 状态

    Liquid

    缓冲液

    PBS, pH 7.4, 0.09 % sodium azide.

    储存液

    Sodium azide

    注意事项

    This product contains Sodium azide: a POISONOUS AND HAZARDOUS SUBSTANCE which should be handled by trained staff only.

    注意事项

    As with all antibodies avoid freeze/thaw cycles. Store undiluted.

    储存条件

    4 °C/-20 °C

    储存方法

    Store Tryptase antibody at 4 °C or -20 °C.
  • 抗原

    TPSAB1 (Tryptase alpha/beta 1 (TPSAB1))

    别名

    Tryptase

    基因ID

    7177

    UniProt

    Q15661
You are here: