电话:
+86 (0512) 65829739
传真:
+86 (010) 6788 5057
电子邮件:
orders@antibodies-online.cn

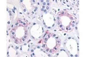
EPHX2 抗体 (Internal Region)

This 兔 多克隆 antibody specifically detects EPHX2 in IHC. It exhibits reactivity toward 人 和 Gorilla.
产品编号 ABIN2469511
发货至: 中国
Contact our Customer Service for availability and price in your country. Contact Info

Our Local Distributor

中国
北京 101111
No. 88 KeChuang 6th Street
Beijing Economic Technological Development Area
Room 801-803
4A Biotech Co.,Ltd.
Tel +86 (0512) 65829739 传真 +86 (010) 6788 5057

Quick Overview for EPHX2 抗体 (Internal Region) (ABIN2469511)

抗原

See all EPHX2 抗体
EPHX2 (Epoxide Hydrolase 2, Cytoplasmic (EPHX2))

适用

  • 32
  • 5
  • 4
  • 2
  • 1
  • 1
  • 1
人, Gorilla

宿主

  • 24
  • 6
  • 2
  • 1

克隆类型

  • 24
  • 9
多克隆

标记

  • 29
  • 2
  • 1
  • 1
This EPHX2 antibody is un-conjugated

应用范围

  • 20
  • 14
  • 11
  • 5
  • 3
  • 2
  • 2
  • 2
  • 1
  • 1
  • 1
Immunohistochemistry (IHC)
  • 抗原表位

    • 8
    • 4
    • 2
    • 1
    • 1
    • 1
    • 1
    • 1
    • 1
    • 1
    Internal Region

    特异性

    BLAST analysis of the peptide immunogen showed no homology with other human proteins, except RHOBTB2 (44 % ), RHOBTB1 (44 %).

    纯化方法

    Immunoaffinity Chromatography

    免疫原

    EPHX2 antibody was raised against a peptide located near the internal domain of EPHX2 (Human).
  • 应用备注

    EPHX2 antibody can be used in ELISA, Western Blot, immunohistochemistry starting at 5 μg/mL, and immunoprecipitation

    限制

    仅限研究用
  • 状态

    Liquid

    缓冲液

    PBS, 0.1 % sodium azide.

    储存液

    Sodium azide

    注意事项

    This product contains Sodium azide: a POISONOUS AND HAZARDOUS SUBSTANCE which should be handled by trained staff only.

    注意事项

    As with all antibodies avoid freeze/thaw cycles.

    储存条件

    4 °C/-80 °C

    储存方法

    EPHX2 antibody should be stored long term (months) at -80 °C and short term (days) at 4 °C.
  • 抗原

    EPHX2 (Epoxide Hydrolase 2, Cytoplasmic (EPHX2))

    别名

    EPHX2

    背景

    Soluble Epoxide Hydrolase (sEH) also known as cytosolic Epoxide Hydrolase is a phase I xenobiotic-metabolizing enzyme that converts epoxyeicosatrienoic acids (EETs) into their corresponding dihydroxyeicosatrienoic acids (DHETs). EETs are thought to be involved in vascular tone, ion channel regulation, mitogenesis and cell signaling. DHETs have, in general, less biological activity then EETs and are more readily excreted, thus hydration of EETs by sEH maybe a means of attenuating or eliminating their activity.sEHs have been identified in many tissues including liver, kidney, adrenal, pancreatic islets, gi tract and vascular smooth muscle.

    基因ID

    2053

    UniProt

    P34913
You are here: