电话:
+86 (0512) 65829739
传真:
+86 (010) 6788 5057
电子邮件:
orders@antibodies-online.cn

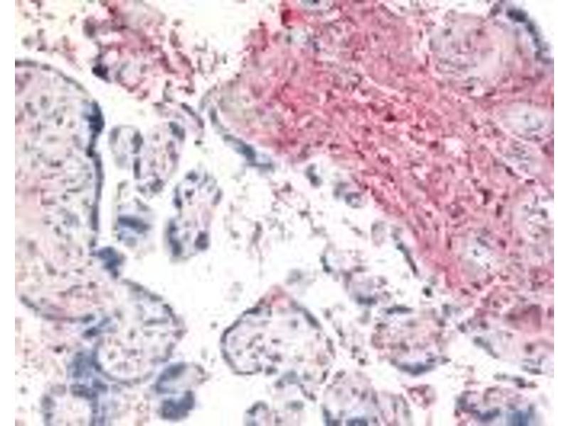
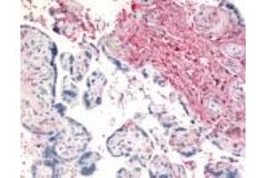
DPP4 抗体 (N-Term)

This 兔 多克隆 antibody specifically detects DPP4 in IHC. It exhibits reactivity toward 人, Gibbon 和 Orang-Utan.
产品编号 ABIN2469484
发货至: 中国
Contact our Customer Service for availability and price in your country. Contact Info

Our Local Distributor

中国
北京 101111
No. 88 KeChuang 6th Street
Beijing Economic Technological Development Area
Room 801-803
4A Biotech Co.,Ltd.
Tel +86 (0512) 65829739 传真 +86 (010) 6788 5057

Quick Overview for DPP4 抗体 (N-Term) (ABIN2469484)

抗原

See all DPP4 抗体
DPP4 (Dipeptidyl-Peptidase 4 (DPP4))

适用

  • 139
  • 57
  • 51
  • 5
  • 4
  • 4
  • 3
  • 3
  • 3
  • 2
  • 2
  • 2
  • 1
  • 1
  • 1
  • 1
人, Gibbon, Orang-Utan

宿主

  • 90
  • 77
  • 17
  • 2
  • 1
  • 1

克隆类型

  • 106
  • 80
  • 1
多克隆

标记

  • 96
  • 24
  • 17
  • 15
  • 8
  • 4
  • 3
  • 2
  • 2
  • 2
  • 2
  • 2
  • 2
  • 1
  • 1
  • 1
  • 1
  • 1
  • 1
  • 1
  • 1
  • 1
This DPP4 antibody is un-conjugated

应用范围

  • 80
  • 72
  • 54
  • 36
  • 34
  • 30
  • 29
  • 23
  • 6
  • 5
  • 4
  • 4
  • 2
  • 1
  • 1
  • 1
  • 1
Immunohistochemistry (IHC)
  • 抗原表位

    • 11
    • 9
    • 7
    • 6
    • 6
    • 6
    • 5
    • 4
    • 3
    • 3
    • 3
    • 2
    • 2
    • 2
    • 2
    • 1
    • 1
    • 1
    • 1
    • 1
    • 1
    • 1
    • 1
    • 1
    • 1
    • 1
    N-Term

    特异性

    BLAST analysis of the peptide immunogen showed no homology with other human proteins.

    纯化方法

    Immunoaffinity Chromatography

    免疫原

    DPP4 antibody was raised against a peptide located in the N-Terminal domain of DPP4 (Human).
  • 应用备注

    DPP4 antibody can be used in immunohistochemistry starting at 1:50, and immunofluorescence.

    限制

    仅限研究用
  • 状态

    Liquid

    缓冲液

    PBS, 0.1 % sodium azide.

    储存液

    Sodium azide

    注意事项

    This product contains Sodium azide: a POISONOUS AND HAZARDOUS SUBSTANCE which should be handled by trained staff only.

    注意事项

    As with all antibodies avoid freeze/thaw cycles.

    储存条件

    4 °C/-80 °C

    储存方法

    DPP4 antibody should be stored long term (months) at -80 °C and short term (days) at 4 °C.
  • 抗原

    DPP4 (Dipeptidyl-Peptidase 4 (DPP4))

    别名

    DPP4

    基因ID

    1803

    UniProt

    P27487

    途径

    Peptide Hormone Metabolism, Regulation of Leukocyte Mediated Immunity
You are here: