GOT1 抗体 (AA 157-167)
Our Local Distributor
北京 101111
Quick Overview for GOT1 抗体 (AA 157-167) (ABIN238623)
抗原
See all GOT1 抗体适用
宿主
克隆类型
标记
应用范围
质量等级
-
-
抗原表位
- AA 157-167
-
原理
- GOT1 (aa 157-167)
-
序列
- RSYRYWDAEK R
-
交叉反应
- 人, 大鼠
-
纯化方法
- Purified from goat serum by ammonium sulphate precipitation followed by antigen affinity chromatography using the immunizing peptide.
-
免疫原
- C-RSYRYWDAEKR
-
亚型
- IgG
-
-
-
-
应用备注
-
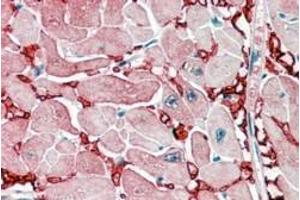
Immunohistochemistry: In paraffin embedded Human Heart shows strong staining of the capillary network between the myocardial fibres in transverse secion. Recommended concentration: 2-3 μg/mL. Paraffin embedded Human Kidney. Recommended concentration: 5 μg/
Western Blot: Approx 40 kDa band observed in Human Brain (Cerebellum), Liver and Skeletal Muscle lysates (calculated MW of 46.2 kDa according to NP_002070.1). The observed molecular weight corresponds to earlier findings in literature with different antib
Peptide ELISA: antibody detection limit dilution 1:4000.
-
限制
- 仅限研究用
-
-
-
状态
- Liquid
-
浓度
- 0.5 mg/mL
-
缓冲液
- Supplied at 0.5 mg/mL in Tris saline, 0.02 % sodium azide, pH 7.3 with 0.5 % bovine serum albumin.
-
储存液
- Sodium azide
-
注意事项
- This product contains Sodium azide: a POISONOUS AND HAZARDOUS SUBSTANCE which should be handled by trained staff only.
-
注意事项
- Minimize freezing and thawing.
-
储存条件
- -20 °C
-
储存方法
- Aliquot and store at -20°C, with minimal freeze/thawing. A working aliquot may be refrigerated at 4°C for a few weeks and still remain viable.
-
-
- GOT1 (Glutamic-Oxaloacetic Transaminase 1, Soluble (Aspartate Aminotransferase 1) (GOT1))
-
别名
- GOT1
-
背景
- GOT1, glutamic-oxaloacetic transaminase 1, soluble (aspartate aminotransferase 1) , GIG18, aspartate aminotransferase 1, growth-inhibiting protein 18
-
基因ID
- 2805, 24401
-
NCBI登录号
- NP_002070
-
途径
- Hepatitis C, Monocarboxylic Acid Catabolic Process, Methionine Biosynthetic Process
抗原
-