EPB41L4B 抗体 (Internal Region)
Our Local Distributor
北京 101111
Quick Overview for EPB41L4B 抗体 (Internal Region) (ABIN238595)
抗原
适用
宿主
克隆类型
标记
应用范围
质量等级
-
-
抗原表位
- Internal Region
-
原理
- EPB41L4B / EHM2
-
序列
- HNYQPQYHPN IHPSQ
-
特异性
- This antibody is expected to recognise both reported isoforms (NP_060894.2, NP_061987.3).
-
交叉反应
- 人
-
纯化方法
- Purified from goat serum by ammonium sulphate precipitation followed by antigen affinity chromatography using the immunizing peptide.
-
免疫原
- Peptide with sequence C-HNYQPQYHPNIHPSQ, from the internal region of the protein sequence according to NP_060894.2, NP_061987.3.
-
亚型
- IgG
-
-
-
-
应用备注
-
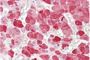
Immunohistochemistry: Paraffin embedded Human Adrenal Gland. Recommended concentration: 3.75 μg/mL.
Western Blot: Preliminary experiments gave an approx 48 kDa band in Human Brain (Hippocampus, Cerebellar Cortex, Cerebellum) and Human Bone Marrow lysates after 0.3 μg/mL antibody staining. Please note that currently we cannot find an explanation in the li
Peptide ELISA: antibody detection limit dilution 1:64000.
-
限制
- 仅限研究用
-
-
-
状态
- Liquid
-
浓度
- 0.5 mg/mL
-
缓冲液
- Supplied at 0.5 mg/mL in Tris saline, 0.02 % sodium azide, pH 7.3 with 0.5 % bovine serum albumin.
-
储存液
- Sodium azide
-
注意事项
- This product contains Sodium azide: a POISONOUS AND HAZARDOUS SUBSTANCE which should be handled by trained staff only.
-
注意事项
- Minimize freezing and thawing.
-
储存条件
- -20 °C
-
储存方法
- Aliquot and store at -20°C, with minimal freeze/thawing. A working aliquot may be refrigerated at 4°C for a few weeks and still remain viable.
-
-
-