电话:
+86 (0512) 65829739
传真:
+86 (010) 6788 5057
电子邮件:
orders@antibodies-online.cn

CHD7 抗体 (Internal Region)

The 山羊 多克隆 anti-CHD7 antibody is suitable to detect CHD7 in samples from 人. It has been validated for ELISA 和 IHC.
产品编号 ABIN238550
发货至: 中国
Contact our Customer Service for availability and price in your country. Contact Info

Our Local Distributor

中国
北京 101111
No. 88 KeChuang 6th Street
Beijing Economic Technological Development Area
Room 801-803
4A Biotech Co.,Ltd.
Tel +86 (0512) 65829739 传真 +86 (010) 6788 5057

Quick Overview for CHD7 抗体 (Internal Region) (ABIN238550)

抗原

See all CHD7 抗体
CHD7 (Chromodomain Helicase DNA Binding Protein 7 (CHD7))

适用

  • 8
  • 3
  • 1
  • 1
  • 1
  • 1
  • 1

宿主

  • 8
  • 1
山羊

克隆类型

  • 9
多克隆

标记

  • 9
This CHD7 antibody is un-conjugated

应用范围

  • 7
  • 4
  • 2
  • 2
  • 2
  • 2
  • 1
  • 1
  • 1
ELISA, Immunohistochemistry (IHC)

质量等级

Verified
  • 抗原表位

    • 2
    • 2
    • 2
    • 1
    • 1
    • 1
    Internal Region

    原理

    CHD7

    序列

    KDEIDEFANS PSE

    交叉反应

    人, 小鼠, 大鼠

    纯化方法

    Purified from goat serum by ammonium sulphate precipitation followed by antigen affinity chromatography using the immunizing peptide.

    免疫原

    Peptide with sequence C-KDEIDEFANSPSE, from the internal region of the protein sequence according to NP_060250.2.

    亚型

    IgG
  • 应用备注

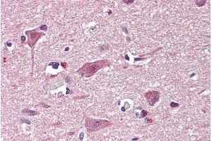
    Immunohistochemistry: Paraffin embedded Human Brain (Cortex). Recommended concentration: 3.75 μg/mL.

    Western Blot: Preliminary experiments gave bands at approx 250 kDa and 48 kDa in Rat Spinal Cord lysates after 1 μg/mL antibody staining. Please note that currently we cannot find an explanation in the literature for the bands we observe given the calculate

    Peptide ELISA: antibody detection limit dilution 1:64000.

    限制

    仅限研究用
  • 状态

    Liquid

    浓度

    0.5 mg/mL

    缓冲液

    Supplied at 0.5 mg/mL in Tris saline, 0.02 % sodium azide, pH 7.3 with 0.5 % bovine serum albumin.

    储存液

    Sodium azide

    注意事项

    This product contains Sodium azide: a POISONOUS AND HAZARDOUS SUBSTANCE which should be handled by trained staff only.

    注意事项

    Minimize freezing and thawing.

    储存条件

    -20 °C

    储存方法

    Aliquot and store at -20°C, with minimal freeze/thawing. A working aliquot may be refrigerated at 4°C for a few weeks and still remain viable.
  • 抗原

    CHD7 (Chromodomain Helicase DNA Binding Protein 7 (CHD7))

    别名

    CHD7

    背景

    Chromodomain helicase DNA binding protein 7, FLJ20357, FLJ20361, IS3, KIAA1416, Scoliosis, idiopathic 3

    基因ID

    55636, 320790, 312974

    NCBI登录号

    NP_060250

    途径

    Sensory Perception of Sound, Chromatin Binding
You are here: