电话:
+86 (0512) 65829739
传真:
+86 (010) 6788 5057
电子邮件:
orders@antibodies-online.cn

MBL-C 抗体

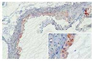
Cited in 4+ publications. The 大鼠 单克隆 anti-MBL-C antibody (Clone 14D12) (ABIN2191776) specifically detects MBL-C in WB, IA, IF 和 FACS. The antibody is reactive with 小鼠 samples.
产品编号 ABIN2191776
发货至: 中国
Contact our Customer Service for availability and price in your country. Contact Info

Our Local Distributor

中国
北京 101111
No. 88 KeChuang 6th Street
Beijing Economic Technological Development Area
Room 801-803
4A Biotech Co.,Ltd.
Tel +86 (0512) 65829739 传真 +86 (010) 6788 5057

Quick Overview for MBL-C 抗体 (ABIN2191776)

抗原

See all MBL-C 抗体
MBL-C (Mannose-Binding Lectin C)

适用

  • 10
  • 9
小鼠

宿主

  • 9
  • 1
大鼠

克隆类型

  • 9
  • 1
单克隆

标记

  • 3
  • 1
  • 1
  • 1
  • 1
  • 1
  • 1
  • 1
This MBL-C antibody is un-conjugated

应用范围

Western Blotting (WB), Immunoassay (IA), Immunofluorescence (IF), Flow Cytometry (FACS)

克隆位点

14D12
  • 过滤

    0.2 μm filtered
  • 应用备注

    For immunohistochemistry and Western blotting, dilutions to be used depend on detection system applied. It is recommended that users test the reagent and determine their own optimal dilutions. It is recommended that solutions with a calcium concentration of 1 mM are used (14D12 is a calcium- dependent antibody). Positive Mouse serum, Kidney tissue control

    限制

    仅限研究用
  • 缓冲液

    PBS, containing 0.1 % bovine serum albumin and 0.02 % sodium azide.

    储存液

    Sodium azide

    注意事项

    This product contains Sodium azide: a POISONOUS AND HAZARDOUS SUBSTANCE which should be handled by trained staff only.

    储存条件

    4 °C

    储存方法

    Product should be stored at 4 °C. Under recommended storage conditions, product is stable for at least one year. The exact expiry date is indicated on the label.
  • Pumidonming, Walochnik, Dauber, Petry: "Binding to complement factors and activation of the alternative pathway by Acanthamoeba." in: Immunobiology, Vol. 216, Issue 1-2, pp. 225-33, (2010) (PubMed).

    Held, Thiel, Loos, Petry: "Increased susceptibility of complement factor B/C2 double knockout mice and mannan-binding lectin knockout mice to systemic infection with Candida albicans." in: Molecular immunology, Vol. 45, Issue 15, pp. 3934-41, (2008) (PubMed).

    Phaneuf, Lillie, Hayes, Turner: "Binding of mouse mannan-binding lectins to different bacterial pathogens of mice." in: Veterinary immunology and immunopathology, Vol. 118, Issue 1-2, pp. 129-33, (2007) (PubMed).

    Liu, Jensen, Hansen, Petersen, Takahashi, Ezekowitz, Hansen, Jensenius, Thiel: "Characterization and quantification of mouse mannan-binding lectins (MBL-A and MBL-C) and study of acute phase responses." in: Scandinavian journal of immunology, Vol. 53, Issue 5, pp. 489-97, (2001) (PubMed).

  • 抗原

    MBL-C (Mannose-Binding Lectin C)

    别名

    Mannose Binding Lectin C

    背景

    Mannose binding lectin (MBL), also called mannose- or mannan-binding protein (MBP), is a member of the group of collectins. MBL is an important pattern-recognition receptor in the innate immune system. The protein mediates innate immune responses, such as activation of the complement lectin pathway and phagocytosis, to help fight infections. MBL is an oligomeric lectin that recognizes carbohydrates as mannose and N-acetylglucosamine on pathogens. MBL contains a cysteine rich, a collagen like and a carbohydrate recognition domain. Binding of MBL leads to the activation of MBL- associated serine proteases (MASP's). Activated MASP-2 cleaves C4 and C2 in a similar way as C1s do for the classical pathway (CP) leading to the formation of C4b2a, cleavage of the classical pathway convertase C3, and eventually complement activation up to the formation of the membrane attack complex. MBL is able to activate the complement pathway independent of the classical and alternative complement activation pathways. MBL is predominantly synthesized by hepatocytes and has been isolated from the liver or serum of several vertebrate species. Only one form of human MBL has been characterized, while two forms are found in rhesus monkeys, rabbits, rats and mice. The mouse forms are known as MBL-A and MBL-C. The MBL-C concentrations in serum are about 6-fold compared to that of MBL-A. MBL-A, but not MBL-C, was found to be an acute phase protein in casein and LPS-injection models. MBL-C exists in higher oligomeric forms than MBL-A. The monoclonal antibody 14D12 is a calcium-dependent antibody. Aliases MBL, L-MB, MBL-C, MBP-C, Mbl2 Immunogen Purified MBL-C
You are here: