电话:
+86 (0512) 65829739
传真:
+86 (010) 6788 5057
电子邮件:
orders@antibodies-online.cn

CAND2 抗体 (C-Term)

This 兔 多克隆 antibody specifically detects CAND2 in WB, IP, IHC, ELISA 和 IHC (p). It exhibits reactivity toward 人.
产品编号 ABIN218497
发货至: 中国
Contact our Customer Service for availability and price in your country. Contact Info

Our Local Distributor

中国
北京 101111
No. 88 KeChuang 6th Street
Beijing Economic Technological Development Area
Room 801-803
4A Biotech Co.,Ltd.
Tel +86 (0512) 65829739 传真 +86 (010) 6788 5057

Quick Overview for CAND2 抗体 (C-Term) (ABIN218497)

抗原

See all CAND2 抗体
CAND2 (Cullin-Associated and Neddylation-Dissociated 2 (CAND2))

适用

  • 10
  • 8
  • 6
  • 4
  • 3
  • 3
  • 3
  • 2
  • 2
  • 2
  • 1
  • 1
  • 1
  • 1
  • 1

宿主

  • 10

克隆类型

  • 10
多克隆

标记

  • 10
This CAND2 antibody is un-conjugated

应用范围

Western Blotting (WB), Immunoprecipitation (IP), Immunohistochemistry (IHC), ELISA, Immunohistochemistry (Paraffin-embedded Sections) (IHC (p))
  • 抗原表位

    • 3
    • 2
    • 1
    • 1
    C-Term

    特异性

    Amino acids 1130-1143 of Human CAND2/TIP120B (C-terminal) coupled to KLH.

    纯化方法

    Delipidated and defibrinated

    免疫原

    Synthetic peptide from human CAND2 / TIP120B.

    Type of Immunogen: Synthetic peptide
  • 应用备注

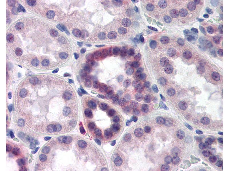
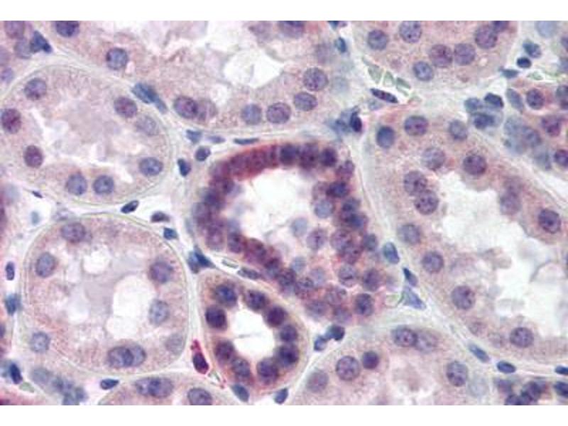
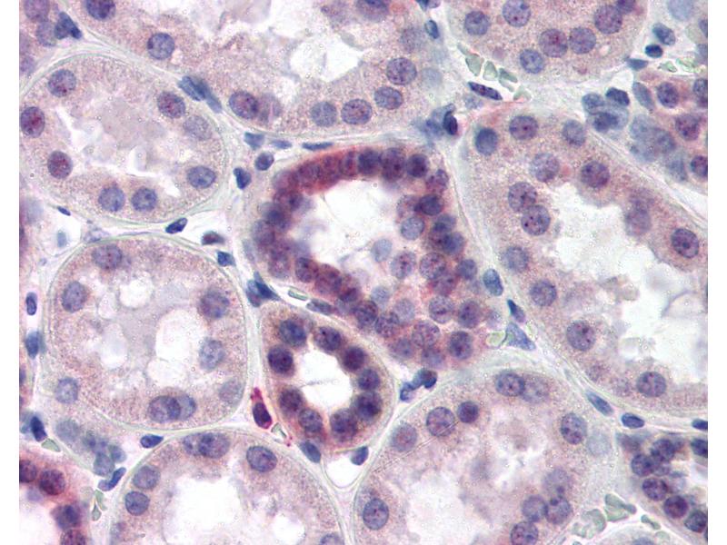
    Approved: ELISA (1:2000 - 1:10000), IHC, IHC-P (1:500), IP, WB (1:500 - 1:1000)

    Usage: Immunohistochemistry: This antibody was validated for use in immunohistochemistry on a panel of 21 formalin-fixed, paraffin-embedded (FFPE) human tissues after heat induced antigen retrieval in  pH 6.0 citrate buffer. After incubation with the primary antibody, slides were incubated with biotinylated secondary antibody, followed by alkaline phosphatase-streptavidin and chromogen. The stained slides were evaluated by a pathologist to confirm staining specificity. The optimal working concentration for this antibody was determined to be 1:500.

    说明

    Target Species of Antibody: Human

    限制

    仅限研究用
  • 状态

    Liquid

    浓度

    Lot specific

    缓冲液

    0.01 % sodium azide.

    储存液

    Sodium azide

    注意事项

    This product contains Sodium azide: a POISONOUS AND HAZARDOUS SUBSTANCE which should be handled by trained staff only.

    注意事项

    Aliquot to Avoid freeze/thaw cycles. Store undiluted.

    储存条件

    -20 °C

    储存方法

    Store at -20°C. Aliquot to avoid freeze-thaw cycles. Store undiluted.
  • 抗原

    CAND2 (Cullin-Associated and Neddylation-Dissociated 2 (CAND2))

    别名

    CAND2 / TIP120B

    背景

    Name/Gene ID: CAND2

    Synonyms: CAND2, KIAA0667, p120 CAND2, TBP interacting protein, TIP120B, TBP-interacting protein 120B, Tp120b

    基因ID

    23066

    UniProt

    O75155
You are here: