电话:
+86 (0512) 65829739
传真:
+86 (010) 6788 5057
电子邮件:
orders@antibodies-online.cn

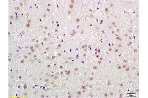
UBL7 抗体 (AA 51-150)

The 兔 多克隆 anti-UBL7 antibody is suitable to detect UBL7 in samples from 小鼠 和 大鼠. It has been validated for WB, ELISA 和 IHC (p).
产品编号 ABIN2179916
发货至: 中国
Contact our Customer Service for availability and price in your country. Contact Info

Our Local Distributor

中国
北京 101111
No. 88 KeChuang 6th Street
Beijing Economic Technological Development Area
Room 801-803
4A Biotech Co.,Ltd.
Tel +86 (0512) 65829739 传真 +86 (010) 6788 5057

Quick Overview for UBL7 抗体 (AA 51-150) (ABIN2179916)

抗原

UBL7 (Ubiquitin-Like 7 (Bone Marrow Stromal Cell-Derived) (UBL7))

适用

  • 28
  • 20
  • 18
  • 3
  • 3
  • 3
  • 3
  • 2
  • 2
  • 1
  • 1
  • 1
  • 1
  • 1
  • 1
小鼠, 大鼠

宿主

  • 28
  • 2

克隆类型

  • 30
多克隆

标记

  • 12
  • 3
  • 2
  • 2
  • 1
  • 1
  • 1
  • 1
  • 1
  • 1
  • 1
  • 1
  • 1
  • 1
  • 1
This UBL7 antibody is un-conjugated

应用范围

  • 24
  • 8
  • 4
  • 4
  • 3
  • 3
  • 1
Western Blotting (WB), ELISA, Immunohistochemistry (Paraffin-embedded Sections) (IHC (p))
You are here: