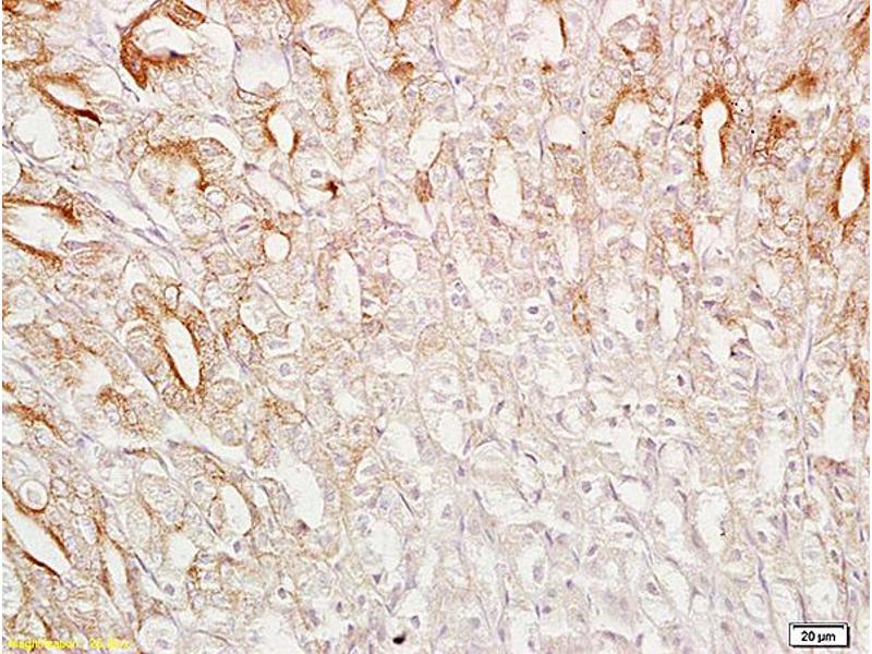
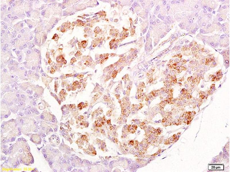
SUN5 抗体 (AA 161-275)
Our Local Distributor
北京 101111
Quick Overview for SUN5 抗体 (AA 161-275) (ABIN2179429)
抗原
See all SUN5 抗体适用
宿主
克隆类型
标记
应用范围
-
-
抗原表位
- AA 161-275
-
交叉反应
- 小鼠, 大鼠
-
预测反应
- Human
-
纯化方法
- Purified by Protein A.
-
免疫原
- KLH conjugated synthetic peptide derived from human TSARG4
-
亚型
- IgG
-
-
-
-
应用备注
-
WB 1:300-5000
ELISA 1:500-1000
IHC-P 1:200-400
IHC-F 1:100-500
IF(IHC-P) 1:50-200
IF(IHC-F) 1:50-200
IF(ICC) 1:50-200 -
限制
- 仅限研究用
-
-
-
状态
- Liquid
-
浓度
- 1 μg/μL
-
缓冲液
- 0.01M TBS( pH 7.4) with 1 % BSA, 0.02 % Proclin300 and 50 % Glycerol.
-
储存液
- ProClin
-
注意事项
- This product contains ProClin: a POISONOUS AND HAZARDOUS SUBSTANCE, which should be handled by trained staff only.
-
储存条件
- 4 °C,-20 °C
-
储存方法
- Shipped at 4°C. Store at -20°C for one year. Avoid repeated freeze/thaw cycles.
-
有效期
- 12 months
-
-
- SUN5 (Sad1 and UNC84 Domain Containing 5 (SUN5))
-
别名
- SRG4/TSARG4
-
背景
-
Synonyms: SPAG4L, TSARG4, dJ726C3.1, SUN domain-containing protein 5, Sad1 and UNC84 domain-containing protein 5, Sperm-associated antigen 4-like protein, Testis and spermatogenesis-related gene 4 protein, SUN5
Background: Testis and spermatogenesis related gene 4 may play a role in the development of cryptorchidism, the failure of the testis to descend from the abdomen into the scrotum [RGD] [TISSUE SPECIFICITY] Testis.
-
基因ID
- 140732
-
UniProt
- Q8TC36
抗原
-