电话:
+86 (0512) 65829739
传真:
+86 (010) 6788 5057
电子邮件:
orders@antibodies-online.cn

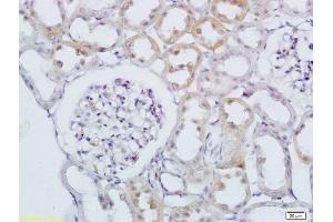
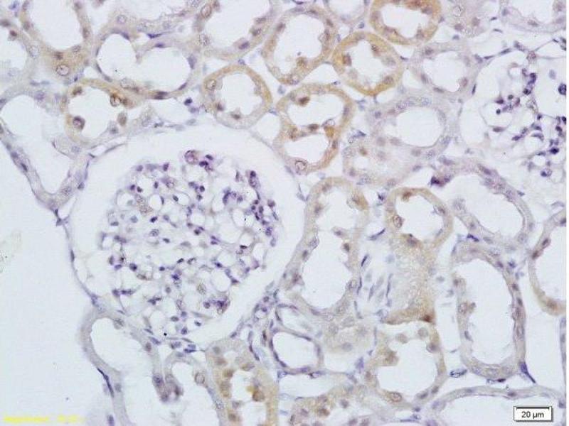
RAB20 抗体 (AA 131-234)

The 兔 多克隆 anti-RAB20 antibody is suitable to detect RAB20 in samples from 大鼠. It has been validated for ELISA, IF (cc), IF (p), IHC (p) 和 IHC (fro).
产品编号 ABIN2178755
发货至: 中国
Contact our Customer Service for availability and price in your country. Contact Info

Our Local Distributor

中国
北京 101111
No. 88 KeChuang 6th Street
Beijing Economic Technological Development Area
Room 801-803
4A Biotech Co.,Ltd.
Tel +86 (0512) 65829739 传真 +86 (010) 6788 5057

Quick Overview for RAB20 抗体 (AA 131-234) (ABIN2178755)

抗原

See all RAB20 抗体
RAB20 (RAB20, Member RAS Oncogene Family (RAB20))

适用

  • 40
  • 19
  • 4
  • 2
  • 2
  • 2
  • 2
  • 2
  • 2
  • 2
  • 2
  • 2
  • 2
  • 2
  • 2
  • 2
  • 1
大鼠

宿主

  • 47
  • 5
  • 2

克隆类型

  • 51
  • 3
多克隆

标记

  • 22
  • 5
  • 4
  • 4
  • 1
  • 1
  • 1
  • 1
  • 1
  • 1
  • 1
  • 1
  • 1
  • 1
  • 1
  • 1
  • 1
  • 1
  • 1
  • 1
  • 1
  • 1
  • 1
This RAB20 antibody is un-conjugated

应用范围

  • 26
  • 23
  • 12
  • 12
  • 5
  • 4
  • 3
  • 2
  • 2
  • 2
  • 1
ELISA, Immunofluorescence (Cultured Cells) (IF (cc)), Immunofluorescence (Paraffin-embedded Sections) (IF (p)), Immunohistochemistry (Paraffin-embedded Sections) (IHC (p)), Immunohistochemistry (Frozen Sections) (IHC (fro))
You are here: