电话:
+86 (0512) 65829739
传真:
+86 (010) 6788 5057
电子邮件:
orders@antibodies-online.cn

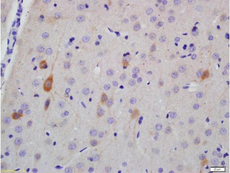
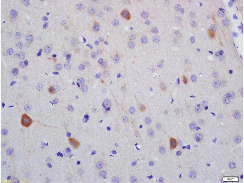
NEFH 抗体 (AA 21-120)

There are 2+ publications for this product available. The 兔 多克隆 anti-NEFH antibody is suitable to detect NEFH in samples from 人, 大鼠 和 小鸡. It has been validated for WB, FACS, ELISA, IHC (p), ICC, IHC (fro), IF (p) 和 IF (cc).
产品编号 ABIN2177936
发货至: 中国
Contact our Customer Service for availability and price in your country. Contact Info

Our Local Distributor

中国
北京 101111
No. 88 KeChuang 6th Street
Beijing Economic Technological Development Area
Room 801-803
4A Biotech Co.,Ltd.
Tel +86 (0512) 65829739 传真 +86 (010) 6788 5057

Quick Overview for NEFH 抗体 (AA 21-120) (ABIN2177936)

抗原

See all NEFH 抗体
NEFH (Neurofilament, Heavy Polypeptide (NEFH))

适用

  • 130
  • 97
  • 80
  • 52
  • 34
  • 33
  • 23
  • 22
  • 13
  • 13
  • 9
  • 9
  • 9
  • 7
  • 7
  • 5
  • 2
  • 2
  • 1
  • 1
人, 大鼠, 小鸡

宿主

  • 71
  • 71
  • 9

克隆类型

  • 98
  • 53
多克隆

标记

  • 92
  • 6
  • 4
  • 4
  • 4
  • 4
  • 4
  • 4
  • 2
  • 2
  • 2
  • 2
  • 1
  • 1
  • 1
  • 1
  • 1
  • 1
  • 1
  • 1
  • 1
  • 1
  • 1
  • 1
  • 1
  • 1
  • 1
  • 1
  • 1
  • 1
  • 1
  • 1
  • 1
This NEFH antibody is un-conjugated

应用范围

  • 104
  • 70
  • 40
  • 29
  • 28
  • 23
  • 19
  • 16
  • 13
  • 12
  • 11
  • 10
  • 6
  • 5
  • 2
  • 2
  • 2
  • 2
  • 2
  • 1
  • 1
Western Blotting (WB), Flow Cytometry (FACS), ELISA, Immunohistochemistry (Paraffin-embedded Sections) (IHC (p)), Immunocytochemistry (ICC), Immunohistochemistry (Frozen Sections) (IHC (fro)), Immunofluorescence (Paraffin-embedded Sections) (IF (p)), Immunofluorescence (Cultured Cells) (IF (cc))
  • 抗原表位

    • 15
    • 12
    • 10
    • 4
    • 2
    • 2
    • 2
    • 1
    • 1
    • 1
    • 1
    • 1
    • 1
    • 1
    • 1
    • 1
    • 1
    • 1
    • 1
    • 1
    AA 21-120

    交叉反应

    小鸡, 人, 大鼠

    预测反应

    Mouse,Dog,Cow,Sheep,Pig,Rabbit

    纯化方法

    Purified by Protein A.

    免疫原

    KLH conjugated synthetic peptide derived from human NF-H

    亚型

    IgG
  • 应用备注

    WB 1:300-5000
    ELISA 1:500-1000
    FCM 1:20-100
    IHC-P 1:200-400
    IHC-F 1:100-500
    IF(IHC-P) 1:50-200
    IF(IHC-F) 1:50-200
    IF(ICC) 1:50-200
    ICC 1:100-500

    限制

    仅限研究用
  • 状态

    Liquid

    浓度

    1 μg/μL

    缓冲液

    0.01M TBS( pH 7.4) with 1 % BSA, 0.02 % Proclin300 and 50 % Glycerol.

    储存液

    ProClin

    注意事项

    This product contains ProClin: a POISONOUS AND HAZARDOUS SUBSTANCE, which should be handled by trained staff only.

    储存条件

    4 °C,-20 °C

    储存方法

    Shipped at 4°C. Store at -20°C for one year. Avoid repeated freeze/thaw cycles.

    有效期

    12 months
  • Liu, Zhang, Zhang, Zhang, Hao, Song, Li, Feng, Hao, Shen, Min, Yang, Zhao: "Regulation of neuroendocrine cells and neuron factors in the ovary by zinc oxide nanoparticles." in: Toxicology letters, Vol. 256, pp. 19-32, (2016) (PubMed).

    Liu, Nie, Zhao, Zhang, Zhang, Wang, Cheng: "Conserved dopamine neurotrophic factor-transduced mesenchymal stem cells promote axon regeneration and functional recovery of injured sciatic nerve." in: PLoS ONE, Vol. 9, Issue 10, pp. e110993, (2014) (PubMed).

  • 抗原

    NEFH (Neurofilament, Heavy Polypeptide (NEFH))

    别名

    NF-H

    背景

    Synonyms: NFH, Neurofilament heavy polypeptide, NF-H, 200 kDa neurofilament protein, Neurofilament triplet H protein, NEFH, KIAA0845

    Background: Neurofilaments usually contain three intermediate filament proteins: L, M, and H which are involved in the maintenance of neuronal caliber. NF-H has an important function in mature axons that is not subserved by the two smaller NF proteins.

    基因ID

    4744

    UniProt

    P12036
You are here: