电话:
+86 (0512) 65829739
传真:
+86 (010) 6788 5057
电子邮件:
orders@antibodies-online.cn

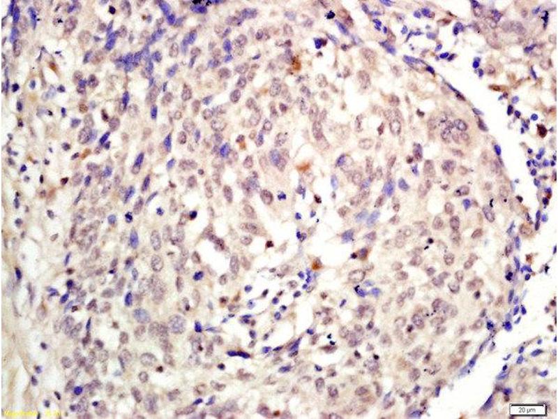
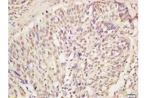
KDM5A 抗体 (AA 101-200)

The 兔 多克隆 anti-KDM5A antibody (ABIN2177121) specifically detects KDM5A in WB, ELISA, IF (cc), IF (p), ICC, IHC (p) 和 IHC (fro). The antibody is reactive with 人 samples.
产品编号 ABIN2177121
发货至: 中国
Contact our Customer Service for availability and price in your country. Contact Info

Our Local Distributor

中国
北京 101111
No. 88 KeChuang 6th Street
Beijing Economic Technological Development Area
Room 801-803
4A Biotech Co.,Ltd.
Tel +86 (0512) 65829739 传真 +86 (010) 6788 5057

Quick Overview for KDM5A 抗体 (AA 101-200) (ABIN2177121)

抗原

See all KDM5A 抗体
KDM5A (Lysine (K)-Specific Demethylase 5A (KDM5A))

适用

  • 70
  • 26
  • 3
  • 1
  • 1
  • 1
  • 1

宿主

  • 64
  • 5

克隆类型

  • 49
  • 21
多克隆

标记

  • 24
  • 6
  • 4
  • 3
  • 3
  • 3
  • 3
  • 3
  • 3
  • 3
  • 1
  • 1
  • 1
  • 1
  • 1
  • 1
  • 1
  • 1
  • 1
  • 1
  • 1
  • 1
  • 1
  • 1
  • 1
This KDM5A antibody is un-conjugated

应用范围

  • 49
  • 20
  • 14
  • 13
  • 13
  • 12
  • 12
  • 11
  • 10
  • 6
  • 2
  • 1
  • 1
Western Blotting (WB), ELISA, Immunofluorescence (Cultured Cells) (IF (cc)), Immunofluorescence (Paraffin-embedded Sections) (IF (p)), Immunocytochemistry (ICC), Immunohistochemistry (Paraffin-embedded Sections) (IHC (p)), Immunohistochemistry (Frozen Sections) (IHC (fro))
  • 抗原表位

    • 14
    • 8
    • 5
    • 4
    • 3
    • 2
    • 2
    • 1
    • 1
    • 1
    • 1
    AA 101-200

    交叉反应

    预测反应

    Mouse,Rat,Dog,Cow,Sheep,Pig,Horse,Rabbit

    纯化方法

    Purified by Protein A.

    免疫原

    KLH conjugated synthetic peptide derived from human KDM5A

    亚型

    IgG
  • 应用备注

    WB 1:300-5000
    ELISA 1:500-1000
    IHC-P 1:200-400
    IHC-F 1:100-500
    IF(IHC-P) 1:50-200
    IF(IHC-F) 1:50-200
    IF(ICC) 1:50-200
    ICC 1:100-500

    限制

    仅限研究用
  • 状态

    Liquid

    浓度

    1 μg/μL

    缓冲液

    0.01M TBS( pH 7.4) with 1 % BSA, 0.02 % Proclin300 and 50 % Glycerol.

    储存液

    ProClin

    注意事项

    This product contains ProClin: a POISONOUS AND HAZARDOUS SUBSTANCE, which should be handled by trained staff only.

    储存条件

    4 °C,-20 °C

    储存方法

    Shipped at 4°C. Store at -20°C for one year. Avoid repeated freeze/thaw cycles.

    有效期

    12 months
  • 抗原

    KDM5A (Lysine (K)-Specific Demethylase 5A (KDM5A))

    别名

    KDM5A

    背景

    Synonyms: RBP2, RBBP2, RBBP-2, Lysine-specific demethylase 5A, Histone demethylase JARID1A, Jumonji/ARID domain-containing protein 1A, Retinoblastoma-binding protein 2, KDM5A, JARID1A

    Background: Histone demethylase that specifically demethylates 'Lys-4' of histone H3, thereby playing a central role in histone code. Does not demethylate histone H3 'Lys-9', H3 'Lys-27', H3 'Lys-36', H3 'Lys-79' or H4 'Lys-20'. Demethylates trimethylated and dimethylated but not monomethylated H3 'Lys-4'. May stimulate transcription mediated by nuclear receptors. May be involved in transcriptional regulation of Hox proteins during cell differentiation. May participate in transcriptional repression of cytokines such as CXCL12. Plays a role in the regulation of the circadian rhythm and in maintaining the normal periodicity of the circadian clock. In a histone demethylase-independent manner, acts as a coactivator of the CLOCK-ARNTL/BMAL1-mediated transcriptional activation of PER1/2 and other clock-controlled genes and increases histone acetylation at PER1/2 promoters by inhibiting the activity of HDAC1 (By similarity).

    基因ID

    5927

    UniProt

    P29375

    途径

    Chromatin Binding, Warburg Effect
You are here: