电话:
+86 (0512) 65829739
传真:
+86 (010) 6788 5057
电子邮件:
orders@antibodies-online.cn

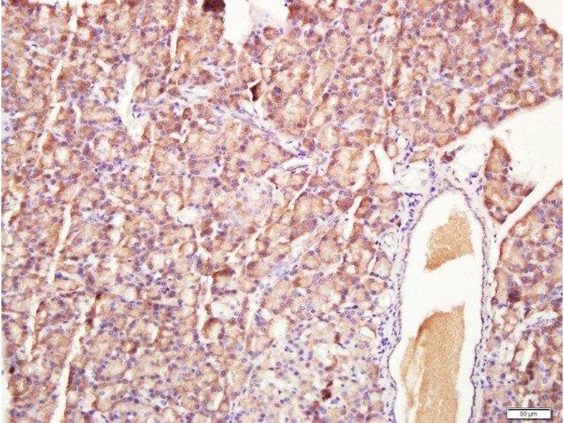
HEG1 抗体 (AA 1151-1381)

The 兔 多克隆 anti-HEG1 antibody is suitable to detect HEG1 in samples from 人, 小鼠 和 大鼠. It has been validated for WB, IF (cc), IF (p), ELISA, IHC (fro), IHC (p) 和 ICC.
产品编号 ABIN2175509
发货至: 中国
Contact our Customer Service for availability and price in your country. Contact Info

Our Local Distributor

中国
北京 101111
No. 88 KeChuang 6th Street
Beijing Economic Technological Development Area
Room 801-803
4A Biotech Co.,Ltd.
Tel +86 (0512) 65829739 传真 +86 (010) 6788 5057

Quick Overview for HEG1 抗体 (AA 1151-1381) (ABIN2175509)

抗原

See all HEG1 抗体
HEG1 (HEG Homolog 1 (HEG1))

适用

  • 15
  • 15
  • 15
  • 2
人, 小鼠, 大鼠

宿主

  • 17

克隆类型

  • 17
多克隆

标记

  • 2
  • 1
  • 1
  • 1
  • 1
  • 1
  • 1
  • 1
  • 1
  • 1
  • 1
  • 1
  • 1
  • 1
  • 1
  • 1
This HEG1 antibody is un-conjugated

应用范围

Western Blotting (WB), Immunofluorescence (Cultured Cells) (IF (cc)), Immunofluorescence (Paraffin-embedded Sections) (IF (p)), ELISA, Immunohistochemistry (Frozen Sections) (IHC (fro)), Immunohistochemistry (Paraffin-embedded Sections) (IHC (p)), Immunocytochemistry (ICC)
  • 抗原表位

    • 14
    • 2
    • 1
    AA 1151-1381

    交叉反应

    人, 小鼠, 大鼠

    预测反应

    Dog,Cow,Sheep,Horse,Rabbit

    纯化方法

    Purified by Protein A.

    免疫原

    KLH conjugated synthetic peptide derived from human HEG1

    亚型

    IgG
  • 应用备注

    WB 1:300-5000
    ELISA 1:500-1000
    IHC-P 1:200-400
    IHC-F 1:100-500
    IF(IHC-P) 1:50-200
    IF(IHC-F) 1:50-200
    IF(ICC) 1:50-200
    ICC 1:100-500

    限制

    仅限研究用
  • 状态

    Liquid

    浓度

    1 μg/μL

    缓冲液

    0.01M TBS( pH 7.4) with 1 % BSA, 0.02 % Proclin300 and 50 % Glycerol.

    储存液

    ProClin

    注意事项

    This product contains ProClin: a POISONOUS AND HAZARDOUS SUBSTANCE, which should be handled by trained staff only.

    储存条件

    4 °C,-20 °C

    储存方法

    Shipped at 4°C. Store at -20°C for one year. Avoid repeated freeze/thaw cycles.

    有效期

    12 months
  • 抗原

    HEG1 (HEG Homolog 1 (HEG1))

    别名

    HEG1

    背景

    Synonyms: HEG, HEG1, HEG1_HUMAN, KIAA1237, MST112, MSTP112, Protein HEG homolog 1.

    Background: HEG1

    途径

    Cell-Cell Junction Organization
You are here: