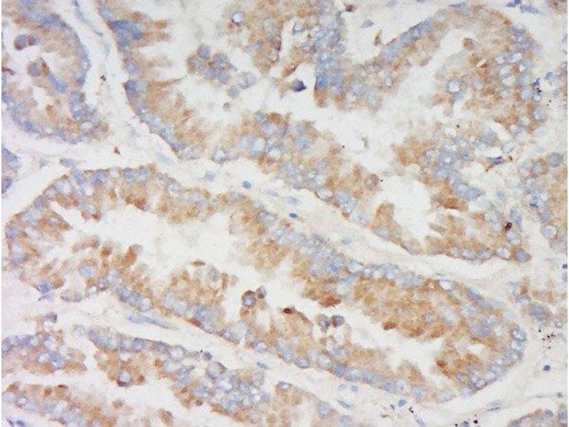
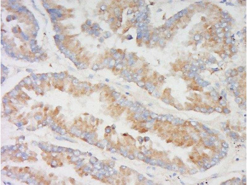
FRMD1 抗体 (AA 65-160)
Our Local Distributor
北京 101111
Quick Overview for FRMD1 抗体 (AA 65-160) (ABIN2174192)
抗原
适用
宿主
克隆类型
标记
应用范围
-
-
抗原表位
- AA 65-160
-
交叉反应
- 人
-
纯化方法
- Purified by Protein A.
-
免疫原
- KLH conjugated synthetic peptide derived from human FRMD1
-
亚型
- IgG
-
-
-
-
应用备注
-
WB 1:300-5000
ELISA 1:500-1000
IHC-P 1:200-400
IHC-F 1:100-500
IF(IHC-P) 1:50-200
IF(IHC-F) 1:50-200
IF(ICC) 1:50-200 -
限制
- 仅限研究用
-
-
-
状态
- Liquid
-
浓度
- 1 μg/μL
-
缓冲液
- 0.01M TBS( pH 7.4) with 1 % BSA, 0.02 % Proclin300 and 50 % Glycerol.
-
储存液
- ProClin
-
注意事项
- This product contains ProClin: a POISONOUS AND HAZARDOUS SUBSTANCE, which should be handled by trained staff only.
-
储存条件
- 4 °C,-20 °C
-
储存方法
- Shipped at 4°C. Store at -20°C for one year. Avoid repeated freeze/thaw cycles.
-
有效期
- 12 months
-
-
- FRMD1 (FERM Domain Containing 1 (FRMD1))
-
别名
- Frmd1
-
背景
-
Synonyms: FERM domain containing 1, FERM domain-containing protein 1, FLJ00181, FLJ22615, FLJ40260, FRMD1, FRMD1_HUMAN, OTTHUMP00000219079, OTTHUMP00000219098, RP11-164L23.1, bA164L23.1, DKFZp434O0117.
Background: No data available.
-
基因ID
- 79981
抗原
-