电话:
+86 (0512) 65829739
传真:
+86 (010) 6788 5057
电子邮件:
orders@antibodies-online.cn

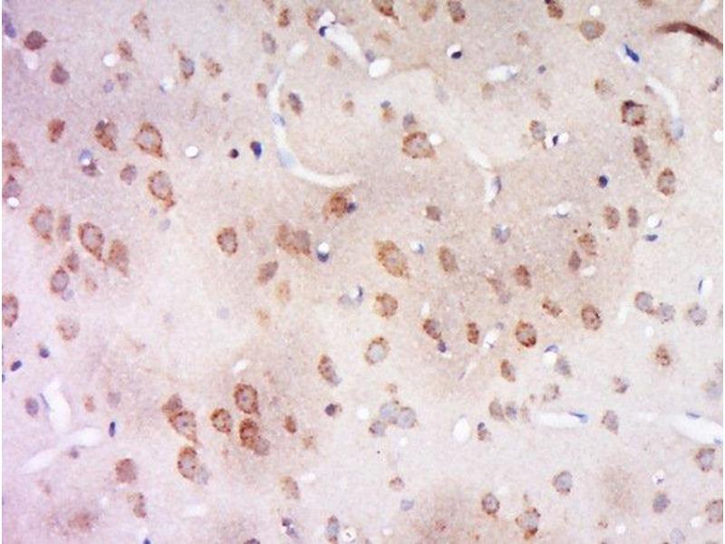
CCDC94 抗体 (AA 15-120)

The 兔 多克隆 anti-CCDC94 antibody (ABIN2172642) specifically detects CCDC94 in WB, ELISA, IF (cc), IF (p), IHC (fro) 和 IHC (p). The antibody is reactive with 小鼠 和 大鼠 samples.
产品编号 ABIN2172642
发货至: 中国
Contact our Customer Service for availability and price in your country. Contact Info

Our Local Distributor

中国
北京 101111
No. 88 KeChuang 6th Street
Beijing Economic Technological Development Area
Room 801-803
4A Biotech Co.,Ltd.
Tel +86 (0512) 65829739 传真 +86 (010) 6788 5057

Quick Overview for CCDC94 抗体 (AA 15-120) (ABIN2172642)

抗原

See all CCDC94 抗体
CCDC94 (Coiled-Coil Domain Containing 94 (CCDC94))

适用

  • 15
  • 15
  • 14
小鼠, 大鼠

宿主

  • 29

克隆类型

  • 29
多克隆

标记

  • 9
  • 3
  • 3
  • 3
  • 1
  • 1
  • 1
  • 1
  • 1
  • 1
  • 1
  • 1
  • 1
  • 1
  • 1
This CCDC94 antibody is un-conjugated

应用范围

  • 21
  • 12
  • 12
  • 9
  • 2
  • 2
  • 2
  • 1
Western Blotting (WB), ELISA, Immunofluorescence (Cultured Cells) (IF (cc)), Immunofluorescence (Paraffin-embedded Sections) (IF (p)), Immunohistochemistry (Frozen Sections) (IHC (fro)), Immunohistochemistry (Paraffin-embedded Sections) (IHC (p))
You are here: