电话:
+86 (0512) 65829739
传真:
+86 (010) 6788 5057
电子邮件:
orders@antibodies-online.cn

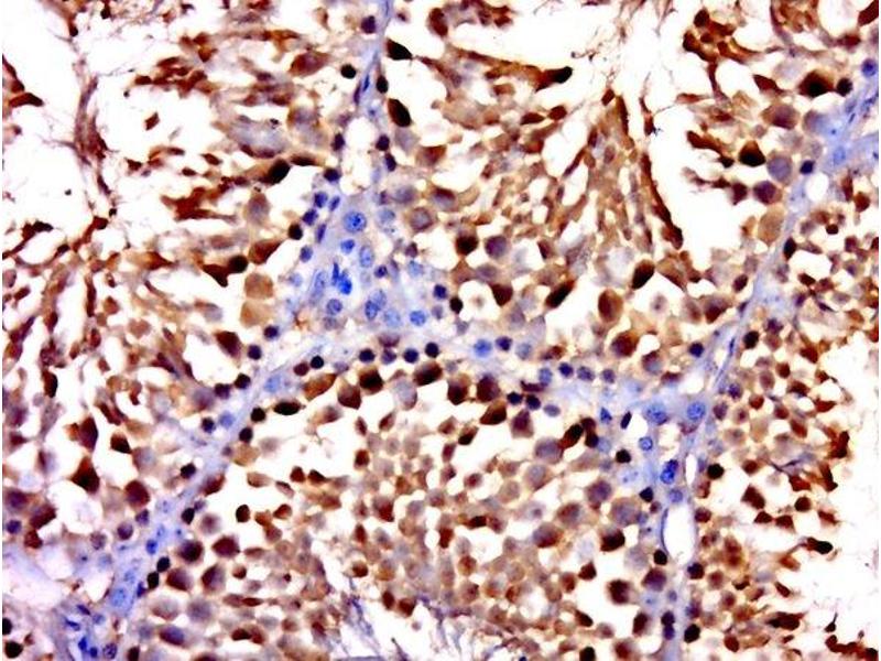
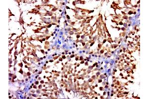
CCDC146 抗体

The 兔 多克隆 anti-CCDC146 antibody (ABIN2172414) specifically detects CCDC146 in WB, ELISA, IF (cc), IF (p), IHC (fro) 和 IHC (p). The antibody is reactive with 人, 大鼠 和 小鼠 samples.
产品编号 ABIN2172414
发货至: 中国
Contact our Customer Service for availability and price in your country. Contact Info

Our Local Distributor

中国
北京 101111
No. 88 KeChuang 6th Street
Beijing Economic Technological Development Area
Room 801-803
4A Biotech Co.,Ltd.
Tel +86 (0512) 65829739 传真 +86 (010) 6788 5057

Quick Overview for CCDC146 抗体 (ABIN2172414)

抗原

See all CCDC146 抗体
CCDC146 (Coiled-Coil Domain Containing 146 (CCDC146))

适用

  • 12
  • 2
  • 2
  • 1
  • 1
  • 1
  • 1
人, 大鼠, 小鼠

宿主

  • 12

克隆类型

  • 12
多克隆

标记

  • 7
  • 1
  • 1
  • 1
  • 1
  • 1
This CCDC146 antibody is un-conjugated

应用范围

Western Blotting (WB), ELISA, Immunofluorescence (Cultured Cells) (IF (cc)), Immunofluorescence (Paraffin-embedded Sections) (IF (p)), Immunohistochemistry (Frozen Sections) (IHC (fro)), Immunohistochemistry (Paraffin-embedded Sections) (IHC (p))
You are here: