电话:
+86 (0512) 65829739
传真:
+86 (010) 6788 5057
电子邮件:
orders@antibodies-online.cn

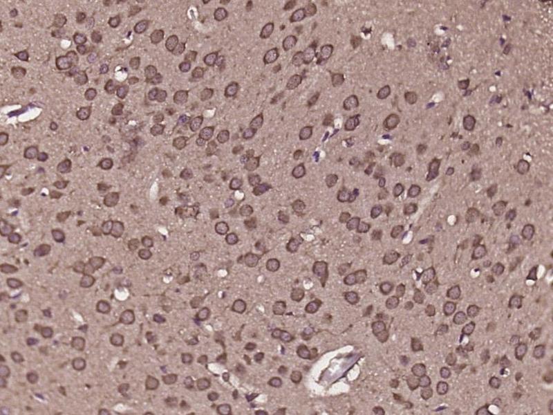
RPESP 抗体 (AA 201-264)

The 兔 多克隆 anti-RPESP antibody (ABIN2172024) specifically detects RPESP in WB, IF (cc), IF (p), ELISA, IHC (fro), IHC (p) 和 ICC. The antibody is reactive with 小鼠 和 大鼠 samples.
产品编号 ABIN2172024
发货至: 中国
Contact our Customer Service for availability and price in your country. Contact Info

Our Local Distributor

中国
北京 101111
No. 88 KeChuang 6th Street
Beijing Economic Technological Development Area
Room 801-803
4A Biotech Co.,Ltd.
Tel +86 (0512) 65829739 传真 +86 (010) 6788 5057

Quick Overview for RPESP 抗体 (AA 201-264) (ABIN2172024)

抗原

RPESP (C8orf84) (Chromosome 8 Open Reading Frame 84 (C8orf84))

适用

  • 19
  • 19
  • 5
  • 3
  • 3
  • 3
  • 3
  • 3
  • 2
  • 1
小鼠, 大鼠

宿主

  • 19

克隆类型

  • 19
多克隆

标记

  • 5
  • 1
  • 1
  • 1
  • 1
  • 1
  • 1
  • 1
  • 1
  • 1
  • 1
  • 1
  • 1
  • 1
  • 1
This RPESP antibody is un-conjugated

应用范围

Western Blotting (WB), Immunofluorescence (Cultured Cells) (IF (cc)), Immunofluorescence (Paraffin-embedded Sections) (IF (p)), ELISA, Immunohistochemistry (Frozen Sections) (IHC (fro)), Immunohistochemistry (Paraffin-embedded Sections) (IHC (p)), Immunocytochemistry (ICC)
You are here: