电话:
+86 (0512) 65829739
传真:
+86 (010) 6788 5057
电子邮件:
orders@antibodies-online.cn

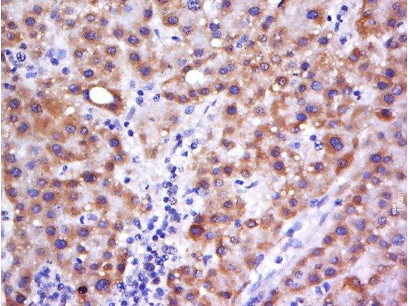
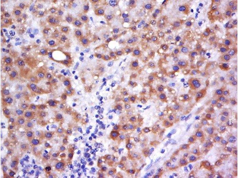
C6ORF222 抗体 (AA 531-630)

The 兔 多克隆 anti-C6ORF222 antibody is suitable to detect C6ORF222 in samples from 人. It has been validated for WB, IF (cc), IF (p), ELISA, IHC (fro), IHC (p) 和 ICC.
产品编号 ABIN2171771
发货至: 中国
Contact our Customer Service for availability and price in your country. Contact Info

Our Local Distributor

中国
北京 101111
No. 88 KeChuang 6th Street
Beijing Economic Technological Development Area
Room 801-803
4A Biotech Co.,Ltd.
Tel +86 (0512) 65829739 传真 +86 (010) 6788 5057

Quick Overview for C6ORF222 抗体 (AA 531-630) (ABIN2171771)

抗原

C6ORF222 (Chromosome 6 Open Reading Frame 222 (C6ORF222))

适用

宿主

  • 15

克隆类型

  • 15
多克隆

标记

  • 1
  • 1
  • 1
  • 1
  • 1
  • 1
  • 1
  • 1
  • 1
  • 1
  • 1
  • 1
  • 1
  • 1
  • 1
This C6ORF222 antibody is un-conjugated

应用范围

Western Blotting (WB), Immunofluorescence (Cultured Cells) (IF (cc)), Immunofluorescence (Paraffin-embedded Sections) (IF (p)), ELISA, Immunohistochemistry (Frozen Sections) (IHC (fro)), Immunohistochemistry (Paraffin-embedded Sections) (IHC (p)), Immunocytochemistry (ICC)
You are here: