电话:
+86 (0512) 65829739
传真:
+86 (010) 6788 5057
电子邮件:
orders@antibodies-online.cn

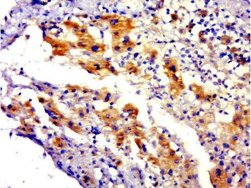
C4ORF51 抗体 (AA 1-100)

The 兔 多克隆 anti-C4ORF51 antibody is suitable to detect C4ORF51 in samples from 人. It has been validated for ELISA, ICC, IF (cc), IF (p), IHC (fro) 和 IHC (p).
产品编号 ABIN2171579
发货至: 中国
Contact our Customer Service for availability and price in your country. Contact Info

Our Local Distributor

中国
北京 101111
No. 88 KeChuang 6th Street
Beijing Economic Technological Development Area
Room 801-803
4A Biotech Co.,Ltd.
Tel +86 (0512) 65829739 传真 +86 (010) 6788 5057

Quick Overview for C4ORF51 抗体 (AA 1-100) (ABIN2171579)

抗原

C4ORF51 (Chromosome 4 Open Reading Frame 51 (C4ORF51))

适用

宿主

  • 1

克隆类型

  • 1
多克隆

标记

  • 1
This C4ORF51 antibody is un-conjugated

应用范围

ELISA, Immunocytochemistry (ICC), Immunofluorescence (Cultured Cells) (IF (cc)), Immunofluorescence (Paraffin-embedded Sections) (IF (p)), Immunohistochemistry (Frozen Sections) (IHC (fro)), Immunohistochemistry (Paraffin-embedded Sections) (IHC (p))
  • 抗原表位

    AA 1-100

    交叉反应

    纯化方法

    Purified by Protein A.

    免疫原

    KLH conjugated synthetic peptide derived from human C4orf51

    亚型

    IgG
  • 应用备注

    ELISA 1:500-1000
    IHC-P 1:200-400
    IHC-F 1:100-500
    IF(IHC-P) 1:50-200
    IF(IHC-F) 1:50-200
    IF(ICC) 1:50-200
    ICC 1:100-500

    限制

    仅限研究用
  • 状态

    Liquid

    浓度

    1 μg/μL

    缓冲液

    0.01M TBS( pH 7.4) with 1 % BSA, 0.02 % Proclin300 and 50 % Glycerol.

    储存液

    ProClin

    注意事项

    This product contains ProClin: a POISONOUS AND HAZARDOUS SUBSTANCE, which should be handled by trained staff only.

    储存条件

    4 °C,-20 °C

    储存方法

    Shipped at 4°C. Store at -20°C for one year. Avoid repeated freeze/thaw cycles.

    有效期

    12 months
  • 抗原

    C4ORF51 (Chromosome 4 Open Reading Frame 51 (C4ORF51))

    别名

    C4orf51

    背景

    Synonyms: Chromosome 4 open reading frame 51, Uncharacterized protein C4orf51, CD051_HUMAN.

    Background: C4orf51

You are here: