电话:
+86 (0512) 65829739
传真:
+86 (010) 6788 5057
电子邮件:
orders@antibodies-online.cn

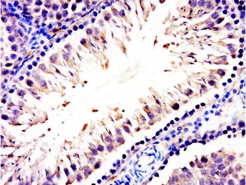
LCA5L 抗体 (AA 301-400)

The 兔 多克隆 anti-LCA5L antibody (ABIN2171193) specifically detects LCA5L in IF (p), IF (cc), ELISA, IHC (p), IHC (fro) 和 ICC. The antibody is reactive with 大鼠 samples.
产品编号 ABIN2171193
发货至: 中国
Contact our Customer Service for availability and price in your country. Contact Info

Our Local Distributor

中国
北京 101111
No. 88 KeChuang 6th Street
Beijing Economic Technological Development Area
Room 801-803
4A Biotech Co.,Ltd.
Tel +86 (0512) 65829739 传真 +86 (010) 6788 5057

Quick Overview for LCA5L 抗体 (AA 301-400) (ABIN2171193)

抗原

LCA5L (Leber Congenital Amaurosis 5-Like (LCA5L))

适用

  • 31
  • 29
  • 24
  • 2
  • 2
  • 1
  • 1
  • 1
  • 1
大鼠

宿主

  • 45

克隆类型

  • 45
多克隆

标记

  • 12
  • 3
  • 3
  • 3
  • 2
  • 2
  • 2
  • 2
  • 2
  • 2
  • 2
  • 2
  • 2
  • 2
  • 2
  • 1
  • 1
This LCA5L antibody is un-conjugated

应用范围

  • 31
  • 25
  • 12
  • 10
  • 8
  • 8
  • 2
  • 1
Immunofluorescence (Paraffin-embedded Sections) (IF (p)), Immunofluorescence (Cultured Cells) (IF (cc)), ELISA, Immunohistochemistry (Paraffin-embedded Sections) (IHC (p)), Immunohistochemistry (Frozen Sections) (IHC (fro)), Immunocytochemistry (ICC)
You are here: