CARD10 抗体 (C-Term)
Our Local Distributor
北京 101111
Quick Overview for CARD10 抗体 (C-Term) (ABIN214428)
抗原
See all CARD10 抗体适用
宿主
克隆类型
标记
应用范围
-
-
抗原表位
- C-Term
-
纯化方法
- Immunoaffinity purified
-
亚型
- IgG
-
-
-
-
应用备注
-
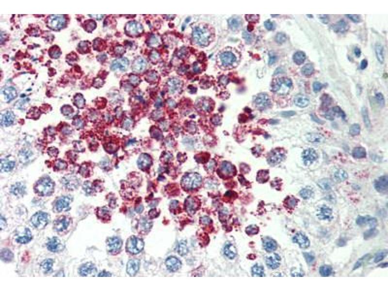
Approved: ICC, IHC, IHC-P (5 μg/mL), WB (5 - 10 μg/mL)
Usage: Immunohistochemistry: This antibody was validated for use in immunohistochemistry on a panel of 21 formalin-fixed, paraffin-embedded (FFPE) human tissues after heat induced antigen retrieval in pH 6.0 citrate buffer. After incubation with the primary antibody, slides were incubated with biotinylated secondary antibody, followed by alkaline phosphatase-streptavidin and chromogen. The stained slides were evaluated by a pathologist to confirm staining specificity. The optimal working concentration for this antibody was determined to be 5 μg/mL. -
说明
-
Target Species of Antibody: Human
-
限制
- 仅限研究用
-
-
-
状态
- Liquid
-
浓度
- Lot specific
-
缓冲液
- PBS, 0.02 % sodium azide.
-
储存液
- Sodium azide
-
注意事项
- This product contains Sodium azide: a POISONOUS AND HAZARDOUS SUBSTANCE which should be handled by trained staff only.
-
注意事项
- avoid freeze thaw cycles. Store undiluted.
-
储存条件
- 4 °C,-20 °C
-
储存方法
- Store at 4°C for 3 months and -20°C, stable for up to 1 year. Avoid repeated freeze-thaw cycles.
-
有效期
- 12 months
-
-
- CARD10 (Caspase Recruitment Domain Family, Member 10 (CARD10))
-
别名
- CARD10 / CARMA3
-
背景
-
Name/Gene ID: CARD10
Family: Apoptosis
Synonyms: CARD10, CARMA3, BIMP1, Carma 3 -
基因ID
- 29775
-
UniProt
- Q9BWT7
-
途径
- S100 Proteins
抗原
-