电话:
+86 (0512) 65829739
传真:
+86 (010) 6788 5057
电子邮件:
orders@antibodies-online.cn

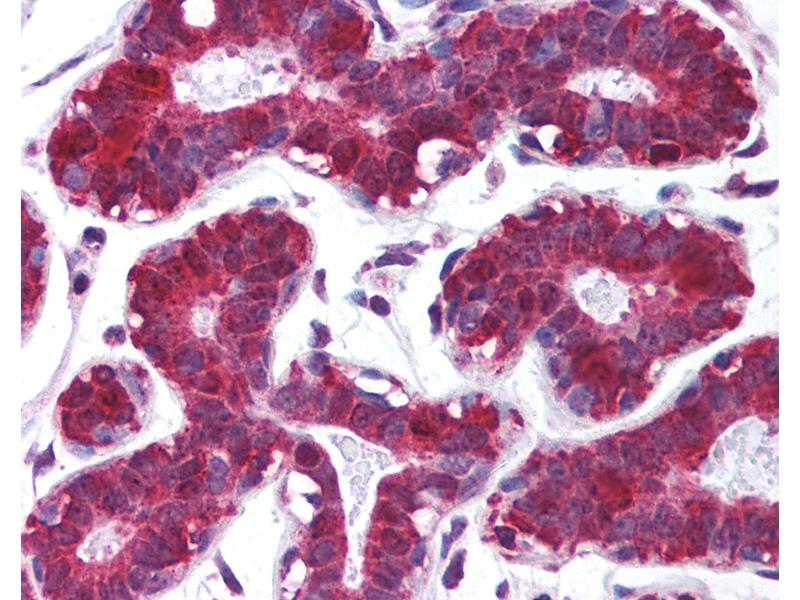
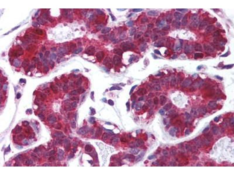
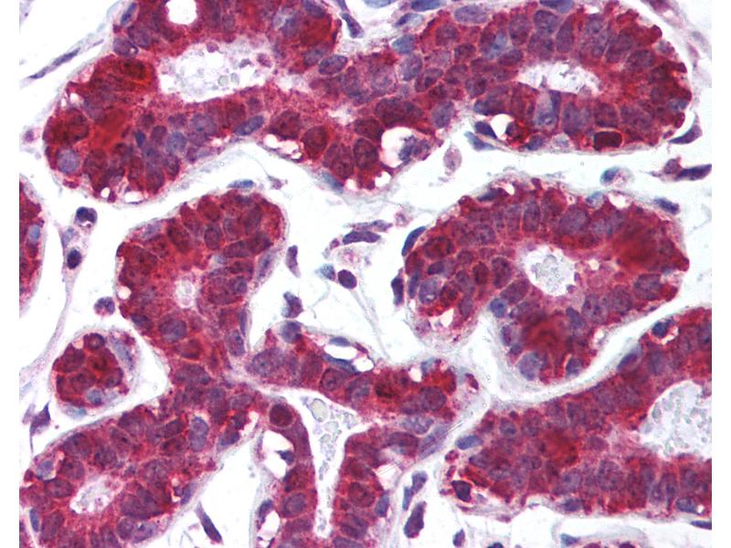
PDCD4 抗体 (C-Term)

The 兔 多克隆 anti-PDCD4 antibody is suitable to detect PDCD4 in samples from 人, 小鼠 和 大鼠. It has been validated for WB, IHC 和 IHC (p).
产品编号 ABIN213965
发货至: 中国
Contact our Customer Service for availability and price in your country. Contact Info

Our Local Distributor

中国
北京 101111
No. 88 KeChuang 6th Street
Beijing Economic Technological Development Area
Room 801-803
4A Biotech Co.,Ltd.
Tel +86 (0512) 65829739 传真 +86 (010) 6788 5057

Quick Overview for PDCD4 抗体 (C-Term) (ABIN213965)

抗原

See all PDCD4 抗体
PDCD4 (Programmed Cell Death 4 (PDCD4))

适用

  • 114
  • 73
  • 53
  • 6
  • 6
  • 5
  • 5
  • 4
  • 4
  • 4
  • 4
  • 3
  • 2
  • 2
  • 2
  • 1
人, 小鼠, 大鼠

宿主

  • 103
  • 8
  • 2
  • 1

克隆类型

  • 88
  • 26
多克隆

标记

  • 66
  • 5
  • 4
  • 4
  • 4
  • 4
  • 4
  • 4
  • 2
  • 2
  • 1
  • 1
  • 1
  • 1
  • 1
  • 1
  • 1
  • 1
  • 1
  • 1
  • 1
  • 1
  • 1
  • 1
  • 1
This PDCD4 antibody is un-conjugated

应用范围

  • 90
  • 47
  • 46
  • 16
  • 14
  • 13
  • 13
  • 13
  • 11
  • 9
  • 3
  • 2
  • 1
Western Blotting (WB), Immunohistochemistry (IHC), Immunohistochemistry (Paraffin-embedded Sections) (IHC (p))
  • 抗原表位

    • 15
    • 9
    • 8
    • 7
    • 7
    • 6
    • 4
    • 3
    • 2
    • 2
    • 2
    • 2
    • 2
    • 2
    • 1
    • 1
    • 1
    • 1
    • 1
    • 1
    • 1
    • 1
    • 1
    • 1
    • 1
    C-Term

    纯化方法

    Immunoaffinity purified

    亚型

    IgG
  • 应用备注

    Approved: IHC, IHC-P (5 μg/mL), WB (0.5 - 1 μg/mL)

    Usage: Immunohistochemistry: This antibody was validated for use in immunohistochemistry on a panel of 21 formalin-fixed, paraffin-embedded (FFPE) human tissues after heat induced antigen retrieval in  pH 6.0 citrate buffer. After incubation with the primary antibody, slides were incubated with biotinylated secondary antibody, followed by alkaline phosphatase-streptavidin and chromogen. The stained slides were evaluated by a pathologist to confirm staining specificity. The optimal working concentration for this antibody was determined to be 5 μg/mL.

    说明

    Target Species of Antibody: Human

    限制

    仅限研究用
  • 状态

    Liquid

    浓度

    Lot specific

    缓冲液

    PBS, 0.02 % sodium azide.

    储存液

    Sodium azide

    注意事项

    This product contains Sodium azide: a POISONOUS AND HAZARDOUS SUBSTANCE which should be handled by trained staff only.

    注意事项

    avoid freeze thaw cycles. Store undiluted.

    储存条件

    4 °C,-20 °C

    储存方法

    Store at 4°C for 3 months and -20°C, stable for up to 1 year. Avoid repeated freeze-thaw cycles.

    有效期

    12 months
  • 抗原

    PDCD4 (Programmed Cell Death 4 (PDCD4))

    别名

    PDCD4

    背景

    Name/Gene ID: PDCD4
    Family: Apoptosis

    Synonyms: PDCD4, H731, Nuclear antigen H731-like, Nuclear antigen H731, Protein 197/15a

    基因ID

    27250

    UniProt

    Q53EL6
You are here: