UCHL3 抗体 (Internal Region)
Our Local Distributor
北京 101111
Quick Overview for UCHL3 抗体 (Internal Region) (ABIN213583)
抗原
See all UCHL3 (Uchl3) 抗体适用
宿主
克隆类型
标记
应用范围
-
-
抗原表位
- Internal Region
-
特异性
- Human UCHL3. BLAST analysis of the peptide immunogen showed no homology with other human proteins.
-
预测反应
- Percent identity with other species by BLAST analysis: Human, Gorilla, Gibbon, Mouse, Rat, Dog, Elephant, Opossum, Turkey, Chicken, Lizard (100%) Orangutan, Monkey, Bovine, Horse, Rabbit, Pig, Salmon (94%) Pufferfish, Zebrafish, Stickleback, Water flea (89%) Xenopus (83%).
-
纯化方法
- Immunoaffinity purified
-
免疫原
-
Synthetic 18 amino acid peptide from internal region of human UCHL3. Percent identity with other species by BLAST analysis: Human, Gorilla, Gibbon, Mouse, Rat, Dog, Elephant, Opossum, Turkey, Chicken, Lizard (100%), Orangutan, Monkey, Bovine, Horse, Rabbit, Pig, Salmon (94%), Pufferfish, Zebrafish, Stickleback, Water flea (89%), Xenopus (83%).
Type of Immunogen: Synthetic peptide
-
-
-
-
应用备注
-
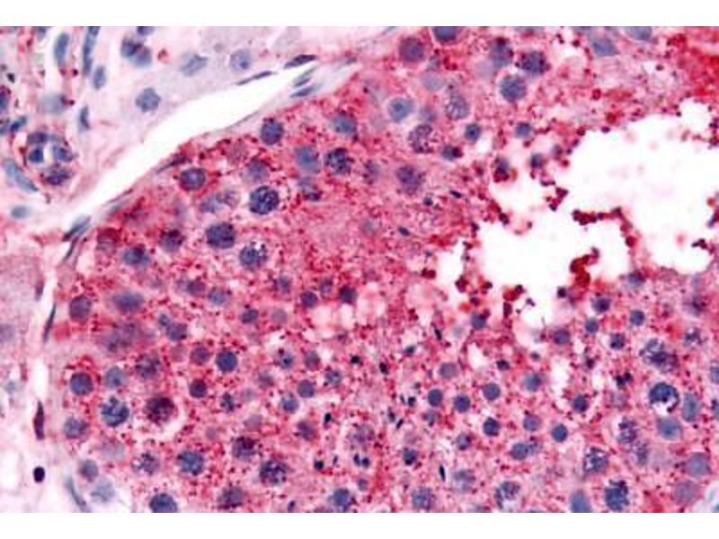
Approved: IHC, IHC-P (5 - 10 μg/mL)
Usage: Immunohistochemistry: This antibody was validated for use in immunohistochemistry on a panel of 21 formalin-fixed, paraffin-embedded (FFPE) human tissues after heat induced antigen retrieval in pH 6.0 citrate buffer. After incubation with the primary antibody, slides were incubated with biotinylated secondary antibody, followed by alkaline phosphatase-streptavidin and chromogen. The stained slides were evaluated by a pathologist to confirm staining specificity. The optimal working concentration for this antibody was determined to be 10 μg/mL. -
说明
-
Target Species of Antibody: Human
-
限制
- 仅限研究用
-
-
-
状态
- Liquid
-
浓度
- Lot specific
-
缓冲液
- PBS, less than 0.1 % sodium azide.
-
储存液
- Sodium azide
-
注意事项
- This product contains Sodium azide: a POISONOUS AND HAZARDOUS SUBSTANCE which should be handled by trained staff only.
-
储存条件
- 4 °C,-20 °C
-
储存方法
- Aliquot and store undiluted at -20°C or below for up to 1 year. Can be stored undiluted at 4°C for up to 1 month. Avoid freeze-thaw cycles.
-
有效期
- 12 months
-
-
- UCHL3 (Uchl3) (Ubiquitin Carboxyl-terminal Esterase L3 (Ubiquitin Thiolesterase) (Uchl3))
-
别名
- UCHL3
-
背景
-
Name/Gene ID: UCHL3
Subfamily: Cysteine C12
Family: Protease
Synonyms: UCHL3, Ubiquitin thiolesterase, Ubiquitin thioesterase L3, UCH-L3 -
基因ID
- 7347
-
途径
- Feeding Behaviour, Positive Regulation of fat Cell Differentiation
抗原
-