电话:
+86 (0512) 65829739
传真:
+86 (010) 6788 5057
电子邮件:
orders@antibodies-online.cn

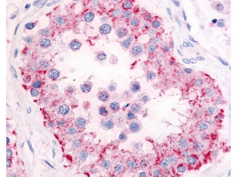
PDE11A 抗体 (Internal Region)

This 兔 多克隆 antibody specifically detects PDE11A in IHC 和 IHC (p). It exhibits reactivity toward 人, 小鼠, 大鼠, Cow, 马, 兔, 斑马鱼, Bat, 猴, Pig, 小鸡 和 Hamster.
产品编号 ABIN213553
发货至: 中国
Contact our Customer Service for availability and price in your country. Contact Info

Our Local Distributor

中国
北京 101111
No. 88 KeChuang 6th Street
Beijing Economic Technological Development Area
Room 801-803
4A Biotech Co.,Ltd.
Tel +86 (0512) 65829739 传真 +86 (010) 6788 5057

Quick Overview for PDE11A 抗体 (Internal Region) (ABIN213553)

抗原

See all PDE11A 抗体
PDE11A (phosphodiesterase 11A (PDE11A))

适用

  • 32
  • 24
  • 21
  • 4
  • 4
  • 4
  • 4
  • 3
  • 3
  • 2
  • 1
  • 1
  • 1
  • 1
  • 1
人, 小鼠, 大鼠, Cow, 马, 兔, 斑马鱼, Bat, 猴, Pig, 小鸡, Hamster

宿主

  • 34
  • 1

克隆类型

  • 35
多克隆

标记

  • 16
  • 8
  • 7
  • 2
  • 1
  • 1
This PDE11A antibody is un-conjugated

应用范围

  • 30
  • 27
  • 19
  • 15
  • 12
  • 10
  • 9
  • 1
Immunohistochemistry (IHC), Immunohistochemistry (Paraffin-embedded Sections) (IHC (p))
  • 抗原表位

    • 8
    • 6
    • 6
    • 6
    • 6
    • 5
    • 5
    • 3
    • 2
    • 2
    • 2
    • 2
    • 1
    • 1
    • 1
    • 1
    Internal Region

    特异性

    Human PDE11A. BLAST analysis of the peptide immunogen showed no homology with other human proteins, except PDE6B (53 % ).

    预测反应

    Percent identity with other species by BLAST analysis: Human, Gorilla, Gibbon, Monkey, Marmoset, Mouse, Rat, Bovine, Bat, Hamster, Elephant, Horse, Rabbit, Pig, Opossum, Turkey, Chicken, Pufferfish, Zebrafish (100%) Platypus, Xenopus, Stickleback (94%) Dog (88%).

    纯化方法

    Immunoaffinity purified

    免疫原

    Synthetic 17 amino acid peptide from internal region of human PDE11A. Percent identity with other species by BLAST analysis: Human, Gorilla, Gibbon, Monkey, Marmoset, Mouse, Rat, Bovine, Bat, Hamster, Elephant, Horse, Rabbit, Pig, Opossum, Turkey, Chicken, Pufferfish, Zebrafish (100%), Platypus, Xenopus, Stickleback (94%), Dog (88%).

    Type of Immunogen: Synthetic peptide
  • 应用备注

    Approved: IHC, IHC-P (5 μg/mL)

    Usage: Immunohistochemistry: This antibody was validated for use in immunohistochemistry on a panel of 21 formalin-fixed, paraffin-embedded (FFPE) human tissues after heat induced antigen retrieval in  pH 6.0 citrate buffer. After incubation with the primary antibody, slides were incubated with biotinylated secondary antibody, followed by alkaline phosphatase-streptavidin and chromogen. The stained slides were evaluated by a pathologist to confirm staining specificity. The optimal working concentration for this antibody was determined to be 5 μg/mL.

    说明

    Target Species of Antibody: Human

    限制

    仅限研究用
  • 状态

    Liquid

    浓度

    Lot specific

    缓冲液

    PBS, less than 0.1 % sodium azide.

    储存液

    Sodium azide

    注意事项

    This product contains Sodium azide: a POISONOUS AND HAZARDOUS SUBSTANCE which should be handled by trained staff only.

    储存条件

    4 °C,-20 °C

    储存方法

    Aliquot and store undiluted at -20°C or below for up to 1 year. Can be stored undiluted at 4°C for up to 1 month. Avoid freeze-thaw cycles.

    有效期

    12 months
  • 抗原

    PDE11A (phosphodiesterase 11A (PDE11A))

    别名

    PDE11A

    背景

    Name/Gene ID: PDE11A
    Subfamily: PDE - cAMP/cGMP dual-specific
    Family: Phosphodiesterase

    Synonyms: PDE11A, Pde11, PDE11A4, PDE11A1, PPNAD2, PDE11A2, PDE11A3, Phosphodiesterase 11A

    基因ID

    50940

    途径

    cAMP Metabolic Process
You are here: