电话:
+86 (0512) 65829739
传真:
+86 (010) 6788 5057
电子邮件:
orders@antibodies-online.cn

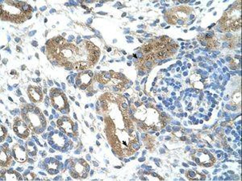
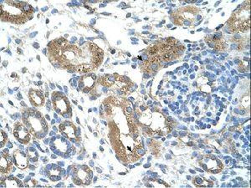
TRIM59 抗体 (AA 251-300)

The 兔 多克隆 anti-TRIM59 antibody is suitable to detect TRIM59 in samples from 人, 小鼠, 大鼠, 马, Pig 和 猴. It has been validated for WB, IHC 和 IHC (p).
产品编号 ABIN203537
发货至: 中国
Contact our Customer Service for availability and price in your country. Contact Info

Our Local Distributor

中国
北京 101111
No. 88 KeChuang 6th Street
Beijing Economic Technological Development Area
Room 801-803
4A Biotech Co.,Ltd.
Tel +86 (0512) 65829739 传真 +86 (010) 6788 5057

Quick Overview for TRIM59 抗体 (AA 251-300) (ABIN203537)

抗原

See all TRIM59 抗体
TRIM59 (Tripartite Motif Containing 59 (TRIM59))

适用

  • 36
  • 17
  • 6
  • 5
  • 4
  • 3
  • 3
  • 3
  • 2
  • 1
  • 1
人, 小鼠, 大鼠, 马, Pig, 猴

宿主

  • 35
  • 1

克隆类型

  • 36
多克隆

标记

  • 20
  • 3
  • 3
  • 2
  • 1
  • 1
  • 1
  • 1
  • 1
  • 1
  • 1
  • 1
This TRIM59 antibody is un-conjugated

应用范围

  • 24
  • 18
  • 17
  • 16
  • 6
  • 4
  • 2
  • 1
Western Blotting (WB), Immunohistochemistry (IHC), Immunohistochemistry (Paraffin-embedded Sections) (IHC (p))
  • 抗原表位

    • 8
    • 5
    • 4
    • 4
    • 2
    • 1
    • 1
    • 1
    • 1
    • 1
    • 1
    AA 251-300

    特异性

    Human TRIM59

    预测反应

    Percent identity by BLAST analysis: Human, Mouse, Rat, Pig (100%) Bovine, Guinea pig (92%) Horse (85%).

    纯化方法

    Protein A purified

    免疫原

    Synthetic peptide located between aa251-300 of human TRIM59 (Q8IWR1, NP_775107). Percent identity by BLAST analysis: Human, Gorilla, Gibbon, Monkey, Mouse, Rat, Elephant, Pig (100%), Panda, Bovine, Guinea pig (92%), Marmoset, Rabbit, Horse (85%).

    Type of Immunogen: Synthetic peptide

    亚型

    IgG
  • 应用备注

    Approved: IHC, IHC-P, WB (5 μg/mL)

    说明

    Target Species of Antibody: Human

    限制

    仅限研究用
  • 状态

    Lyophilized

    溶解方式

    After adding water, will consist of PBS buffer with 2 % sucrose

    浓度

    Lot specific

    缓冲液

    Lyophilized from PBS with 2 % sucrose

    注意事项

    Avoid repeat freeze-thaw cycles.

    储存条件

    4 °C,-20 °C

    储存方法

    Long term: -20°C, the use of 50% glycerol is recommended if storing aliquots in -20°C for long term use (up to 1 year)
    Short term (less than 1 week): 4°C. Avoid freeze-thaw cycles.
  • 抗原

    TRIM59 (Tripartite Motif Containing 59 (TRIM59))

    别名

    TRIM59

    背景

    Name/Gene ID: TRIM59

    Synonyms: TRIM59, MRF1, RNF104, Tripartite motif-containing 57, Tripartite motif-containing 59, TSBF1, Tumor suppressor TSBF-1, RING finger protein 104, TRIM57, Tripartite motif containing 59, Tumor suppressor TSBF1

    基因ID

    286827

    NCBI登录号

    NP_775107

    UniProt

    Q8IWR1

    途径

    SARS-CoV-2 Protein Interactome
You are here: