电话:
+86 (0512) 65829739
传真:
+86 (010) 6788 5057
电子邮件:
orders@antibodies-online.cn

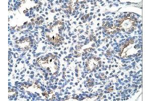
CEACAM6 抗体 (AA 216-265)

The 兔 多克隆 anti-CEACAM6 antibody (ABIN203400) specifically detects CEACAM6 in WB, IHC 和 IHC (p). The antibody is reactive with 人 samples.
产品编号 ABIN203400
发货至: 中国
Contact our Customer Service for availability and price in your country. Contact Info

Our Local Distributor

中国
北京 101111
No. 88 KeChuang 6th Street
Beijing Economic Technological Development Area
Room 801-803
4A Biotech Co.,Ltd.
Tel +86 (0512) 65829739 传真 +86 (010) 6788 5057

Quick Overview for CEACAM6 抗体 (AA 216-265) (ABIN203400)

抗原

See all CEACAM6 抗体
CEACAM6 (Carcinoembryonic Antigen-Related Cell Adhesion Molecule 6 (CEACAM6))

适用

  • 74
  • 14
  • 14
  • 1

宿主

  • 52
  • 13
  • 11

克隆类型

  • 42
  • 30
  • 2
多克隆

标记

  • 36
  • 6
  • 5
  • 5
  • 4
  • 2
  • 2
  • 2
  • 2
  • 2
  • 2
  • 2
  • 2
  • 1
  • 1
This CEACAM6 antibody is un-conjugated

应用范围

  • 41
  • 25
  • 22
  • 18
  • 14
  • 13
  • 6
  • 5
  • 2
  • 1
  • 1
  • 1
  • 1
  • 1
Western Blotting (WB), Immunohistochemistry (IHC), Immunohistochemistry (Paraffin-embedded Sections) (IHC (p))
You are here: