电话:
+86 (0512) 65829739
传真:
+86 (010) 6788 5057
电子邮件:
orders@antibodies-online.cn

TRIM3 抗体 (AA 225-274)

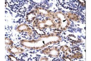
The 兔 多克隆 anti-TRIM3 antibody (ABIN202896) specifically detects TRIM3 in WB, IHC 和 IHC (p). The antibody is reactive with 人 和 兔 samples.
产品编号 ABIN202896
发货至: 中国
Contact our Customer Service for availability and price in your country. Contact Info

Our Local Distributor

中国
北京 101111
No. 88 KeChuang 6th Street
Beijing Economic Technological Development Area
Room 801-803
4A Biotech Co.,Ltd.
Tel +86 (0512) 65829739 传真 +86 (010) 6788 5057

Quick Overview for TRIM3 抗体 (AA 225-274) (ABIN202896)

抗原

See all TRIM3 抗体
TRIM3 (Tripartite Motif Containing 3 (TRIM3))

适用

  • 48
  • 36
  • 35
  • 6
  • 6
  • 6
  • 5
  • 4
  • 2
  • 1
  • 1
  • 1
  • 1
人, 兔

宿主

  • 47
  • 1

克隆类型

  • 48
多克隆

标记

  • 24
  • 3
  • 2
  • 2
  • 1
  • 1
  • 1
  • 1
  • 1
  • 1
  • 1
  • 1
  • 1
  • 1
  • 1
  • 1
  • 1
  • 1
  • 1
  • 1
  • 1
This TRIM3 antibody is un-conjugated

应用范围

  • 30
  • 13
  • 13
  • 13
  • 8
  • 7
  • 5
  • 3
  • 1
  • 1
Western Blotting (WB), Immunohistochemistry (IHC), Immunohistochemistry (Paraffin-embedded Sections) (IHC (p))
  • 抗原表位

    • 5
    • 5
    • 4
    • 2
    • 2
    • 1
    • 1
    • 1
    • 1
    • 1
    • 1
    • 1
    AA 225-274

    特异性

    Human TRIM3

    预测反应

    Percent identity by BLAST analysis: Human (100%) Mouse, Rat, Dog, Bovine, Horse (92%).

    纯化方法

    Protein A purified

    免疫原

    Synthetic peptide located between aa225-274 of human TRIM3 (Q6ZTE7, NP_006449). Percent identity by BLAST analysis: Human, Chimpanzee, Elephant, Rabbit (100%), Gorilla, Gibbon, Monkey, Galago, Marmoset, Mouse, Rat, Hamster, Panda, Dog, Bovine, Horse, Guinea pig, Platypus (92%), Bat, Pig, Zebrafish (91%), Opossum (85%), Turkey, Zebra finch, Chicken, Lizard, Xenopus (83%).

    Type of Immunogen: Synthetic peptide

    亚型

    IgG
  • 应用备注

    Approved: IHC, IHC-P, WB (1 μg/mL)

    说明

    Target Species of Antibody: Human

    限制

    仅限研究用
  • 状态

    Lyophilized

    溶解方式

    After adding water, will consist of PBS buffer with 2 % sucrose

    浓度

    Lot specific

    缓冲液

    Lyophilized from PBS with 2 % sucrose

    注意事项

    Avoid repeat freeze-thaw cycles.

    储存条件

    4 °C,-20 °C

    储存方法

    Long term: -20°C, the use of 50% glycerol is recommended if storing aliquots in -20°C for long term use (up to 1 year)
    Short term (less than 1 week): 4°C. Avoid freeze-thaw cycles.
  • 抗原

    TRIM3 (Tripartite Motif Containing 3 (TRIM3))

    别名

    TRIM3

    背景

    Name/Gene ID: TRIM3
    Family: Tripartite Motif

    Synonyms: TRIM3, BERP, Brain expressed ring finger, Tripartite motif containing 3, Tripartite motif protein TRIM3, RING finger protein 97, RNF22, RNF97, HAC1, RING finger protein 22, Tripartite motif-containing 3

    基因ID

    10612

    NCBI登录号

    NP_006449

    UniProt

    O75382
You are here: