电话:
+86 (0512) 65829739
传真:
+86 (010) 6788 5057
电子邮件:
orders@antibodies-online.cn

POU3F1 抗体 (N-Term)

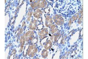
This 兔 多克隆 antibody specifically detects POU3F1 in WB, IHC 和 IHC (p). It exhibits reactivity toward 人, 小鼠, 大鼠, Cow, 豚鼠, 兔 和 Pig.
产品编号 ABIN202549
发货至: 中国
Contact our Customer Service for availability and price in your country. Contact Info

Our Local Distributor

中国
北京 101111
No. 88 KeChuang 6th Street
Beijing Economic Technological Development Area
Room 801-803
4A Biotech Co.,Ltd.
Tel +86 (0512) 65829739 传真 +86 (010) 6788 5057

Quick Overview for POU3F1 抗体 (N-Term) (ABIN202549)

抗原

See all POU3F1 抗体
POU3F1 (POU Class 3 Homeobox 1 (POU3F1))

适用

  • 26
  • 18
  • 17
  • 4
  • 3
  • 3
  • 3
  • 2
  • 2
  • 2
  • 1
人, 小鼠, 大鼠, Cow, 豚鼠, 兔, Pig

宿主

  • 24
  • 2

克隆类型

  • 26
多克隆

标记

  • 15
  • 2
  • 2
  • 1
  • 1
  • 1
  • 1
  • 1
  • 1
  • 1
This POU3F1 antibody is un-conjugated

应用范围

  • 14
  • 14
  • 6
  • 1
  • 1
  • 1
Western Blotting (WB), Immunohistochemistry (IHC), Immunohistochemistry (Paraffin-embedded Sections) (IHC (p))
  • 抗原表位

    • 6
    • 4
    • 2
    • 1
    • 1
    • 1
    • 1
    • 1
    N-Term

    特异性

    Human POU3F1

    预测反应

    Percent identity by BLAST analysis: Mouse, Bovine, Rabbit, Pig, Guinea pig (100%).

    纯化方法

    Protein A purified

    免疫原

    Synthetic peptide from N-Terminus of human POU3F1 (Q03052, NP_002690). Percent identity by BLAST analysis: Human, Mouse, Rat, Elephant, Bovine, Rabbit, Pig, Opossum, Guinea pig (100%).

    Type of Immunogen: Synthetic peptide

    亚型

    IgG
  • 应用备注

    Approved: IHC, IHC-P, WB (2.5 μg/mL)

    说明

    Target Species of Antibody: Human

    限制

    仅限研究用
  • 状态

    Lyophilized

    溶解方式

    Distilled water

    浓度

    Lot specific

    缓冲液

    Lyophilized from PBS with 2 % sucrose

    注意事项

    Avoid repeat freeze-thaw cycles.

    储存条件

    4 °C,-20 °C

    储存方法

    Long term: -20°C, the use of 50% glycerol is recommended if storing aliquots in -20°C for long term use (up to 1 year)
    Short term (less than 1 week): 4°C. Avoid freeze-thaw cycles.
  • 抗原

    POU3F1 (POU Class 3 Homeobox 1 (POU3F1))

    别名

    OCT6 / OCT-6 / SCIP

    背景

    Name/Gene ID: POU3F1

    Synonyms: POU3F1, Oct-6, OTF-6, OTF6, POU class 3 homeobox 1, SCIP, OCT6, Octamer-binding protein 6

    基因ID

    5453

    NCBI登录号

    NP_002690

    UniProt

    Q03052
You are here: