电话:
+86 (0512) 65829739
传真:
+86 (010) 6788 5057
电子邮件:
orders@antibodies-online.cn

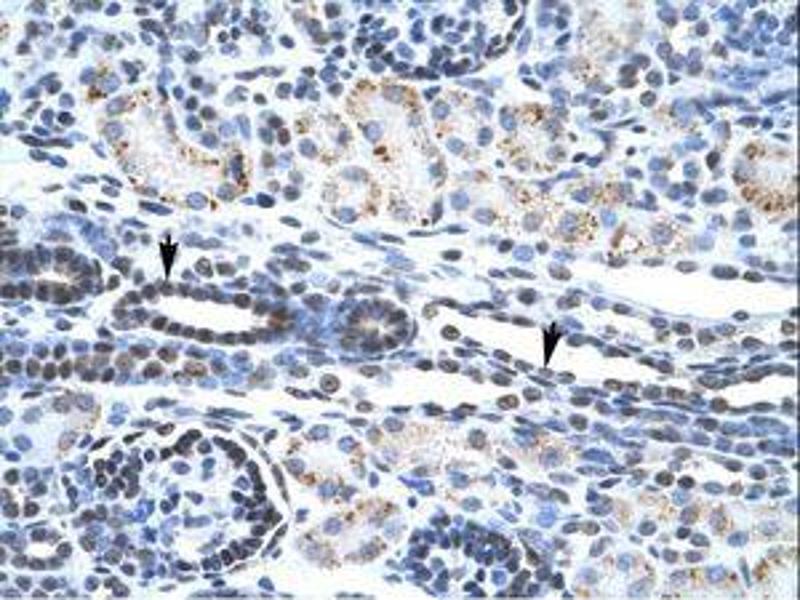
ETS1 抗体 (AA 52-101)

The 兔 多克隆 anti-ETS1 antibody is suitable to detect ETS1 in samples from 人, 小鼠, 大鼠, 犬, 兔, Cow, Pig, 山羊, 马, 豚鼠, 斑马鱼 和 猴. It has been validated for WB, IHC 和 IHC (p).
产品编号 ABIN202532
发货至: 中国
Contact our Customer Service for availability and price in your country. Contact Info

Our Local Distributor

中国
北京 101111
No. 88 KeChuang 6th Street
Beijing Economic Technological Development Area
Room 801-803
4A Biotech Co.,Ltd.
Tel +86 (0512) 65829739 传真 +86 (010) 6788 5057

Quick Overview for ETS1 抗体 (AA 52-101) (ABIN202532)

抗原

See all ETS1 抗体
ETS1 (V-Ets erythroblastosis Virus E26 Oncogene Homolog 1 (Avian) (ETS1))

适用

  • 143
  • 80
  • 21
  • 7
  • 7
  • 6
  • 6
  • 5
  • 5
  • 4
  • 2
  • 2
  • 1
  • 1
  • 1
  • 1
  • 1
人, 小鼠, 大鼠, 犬, 兔, Cow, Pig, 山羊, 马, 豚鼠, 斑马鱼, 猴

宿主

  • 112
  • 31
  • 2

克隆类型

  • 94
  • 51
多克隆

标记

  • 68
  • 8
  • 5
  • 4
  • 3
  • 3
  • 3
  • 3
  • 3
  • 3
  • 2
  • 2
  • 2
  • 2
  • 2
  • 2
  • 2
  • 2
  • 2
  • 2
  • 2
  • 2
  • 2
  • 2
  • 2
  • 2
  • 2
  • 2
  • 2
  • 2
  • 1
  • 1
This ETS1 antibody is un-conjugated

应用范围

  • 108
  • 52
  • 37
  • 36
  • 30
  • 26
  • 26
  • 14
  • 12
  • 6
  • 5
  • 2
  • 1
  • 1
  • 1
  • 1
  • 1
Western Blotting (WB), Immunohistochemistry (IHC), Immunohistochemistry (Paraffin-embedded Sections) (IHC (p))
You are here: