电话:
+86 (0512) 65829739
传真:
+86 (010) 6788 5057
电子邮件:
orders@antibodies-online.cn

PAWR 抗体 (AA 212-261)

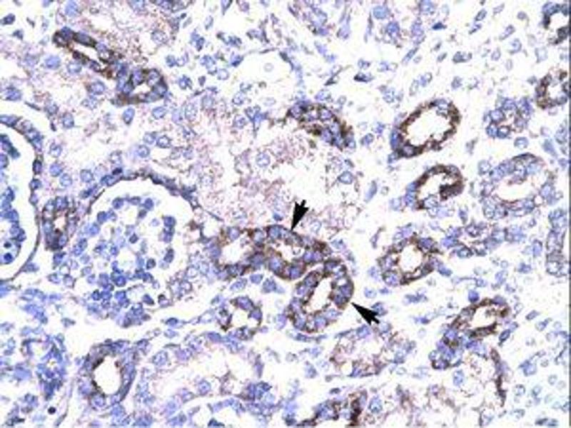
The 兔 多克隆 anti-PAWR antibody is suitable to detect PAWR in samples from 人, 犬, 马, 猴 和 Pig. It has been validated for WB, IHC 和 IHC (p).
产品编号 ABIN202286
发货至: 中国
Contact our Customer Service for availability and price in your country. Contact Info

Our Local Distributor

中国
北京 101111
No. 88 KeChuang 6th Street
Beijing Economic Technological Development Area
Room 801-803
4A Biotech Co.,Ltd.
Tel +86 (0512) 65829739 传真 +86 (010) 6788 5057

Quick Overview for PAWR 抗体 (AA 212-261) (ABIN202286)

抗原

See all PAWR 抗体
PAWR (PRKC, Apoptosis, WT1, Regulator (PAWR))

适用

  • 33
  • 20
  • 20
  • 4
  • 3
  • 2
  • 2
  • 1
  • 1
  • 1
  • 1
人, 犬, 马, 猴, Pig

宿主

  • 33
  • 1

克隆类型

  • 31
  • 3
多克隆

标记

  • 20
  • 2
  • 2
  • 2
  • 2
  • 2
  • 2
  • 2
This PAWR antibody is un-conjugated

应用范围

  • 19
  • 12
  • 8
  • 4
  • 4
  • 4
  • 3
  • 2
  • 1
Western Blotting (WB), Immunohistochemistry (IHC), Immunohistochemistry (Paraffin-embedded Sections) (IHC (p))
  • 抗原表位

    • 3
    • 2
    • 1
    • 1
    • 1
    • 1
    • 1
    • 1
    • 1
    AA 212-261

    特异性

    Human PAWR / PAR4

    预测反应

    Percent identity by BLAST analysis: Human, Dog (100%) Horse, Pig (84%).

    纯化方法

    Protein A/G purified

    免疫原

    Synthetic peptide located between aa212-261 of human PAWR (O75796, NP_002574). Percent identity by BLAST analysis: Human, Gorilla, Monkey, Marmoset, Dog (100%), Gibbon (92%), Bat, Horse, Pig (84%).

    Type of Immunogen: Synthetic peptide
  • 应用备注

    Approved: IHC, IHC-P, WB (0.5 - 1 μg/mL)

    说明

    Target Species of Antibody: Human

    限制

    仅限研究用
  • 状态

    Lyophilized

    溶解方式

    After adding water, will consist of PBS buffer with 2 % sucrose

    浓度

    Lot specific

    缓冲液

    Lyophilized from PBS with 2 % sucrose

    注意事项

    Avoid repeat freeze-thaw cycles.

    储存条件

    4 °C,-20 °C

    储存方法

    Long term: -20°C, the use of 50% glycerol is recommended if storing aliquots in -20°C for long term use (up to 1 year)
    Short term (less than 1 week): 4°C. Avoid freeze-thaw cycles.
  • 抗原

    PAWR (PRKC, Apoptosis, WT1, Regulator (PAWR))

    别名

    PAWR / Par-4

    背景

    Name/Gene ID: PAWR

    Synonyms: PAWR, PAR4, WT1-interacting protein, Par-4, Transcriptional repressor PAR4

    基因ID

    5074

    NCBI登录号

    NP_002574

    UniProt

    Q96IZ0
You are here: