RIMS3 抗体 (C-Term)
Our Local Distributor
北京 101111
Quick Overview for RIMS3 抗体 (C-Term) (ABIN202211)
抗原
See all RIMS3 抗体适用
宿主
克隆类型
标记
应用范围
-
-
抗原表位
- C-Term
-
特异性
- Human RIMS3
-
预测反应
- Percent identity by BLAST analysis: Human, Mouse, Rat, Dog, Bovine, Rabbit, Pig, Zebrafish (100%) Chicken (92%).
-
纯化方法
- Protein A purified
-
免疫原
-
Synthetic peptide from C-Terminus of human RIMS3 (Q9UJD0, NP_055562). Percent identity by BLAST analysis: Human, Chimpanzee, Gorilla, Gibbon, Monkey, Galago, Marmoset, Mouse, Rat, Elephant, Panda, Dog, Bovine, Bat, Rabbit, Horse, Pig, Guinea pig, Stickleback, Zebrafish (100%), Opossum, Chicken, Platypus, Xenopus (92%), Zebra finch, Lizard (84%).
Type of Immunogen: Synthetic peptide -
亚型
- IgG
-
-
-
-
应用备注
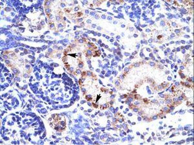
- Approved: IHC, IHC-P, WB (1.25 μg/mL)
-
说明
-
Target Species of Antibody: Human
-
限制
- 仅限研究用
-
-
-
状态
- Lyophilized
-
溶解方式
- After adding water, will consist of PBS buffer with 2 % sucrose
-
浓度
- Lot specific
-
缓冲液
- Lyophilized from PBS with 2 % sucrose
-
注意事项
- Avoid repeat freeze-thaw cycles.
-
储存条件
- 4 °C,-20 °C
-
储存方法
-
Long term: -20°C, the use of 50% glycerol is recommended if storing aliquots in -20°C for long term use (up to 1 year)
Short term (less than 1 week): 4°C. Avoid freeze-thaw cycles.
-
-
- RIMS3 (Regulating Synaptic Membrane Exocytosis 3 (RIMS3))
-
别名
- RIMS3
-
背景
-
Name/Gene ID: RIMS3
Synonyms: RIMS3, KIAA0137, Rab-3-interacting molecule 3, NIM3, Rab-3 interacting molecule 3, RIM3, RIM3 gamma, KIAA0237, RIM 3 -
基因ID
- 9783
-
NCBI登录号
- NP_055562
-
UniProt
- Q9UJD0
-
途径
- Stem Cell Maintenance, Synaptic Vesicle Exocytosis
抗原
-