电话:
+86 (0512) 65829739
传真:
+86 (010) 6788 5057
电子邮件:
orders@antibodies-online.cn

TMED4 抗体 (N-Term)

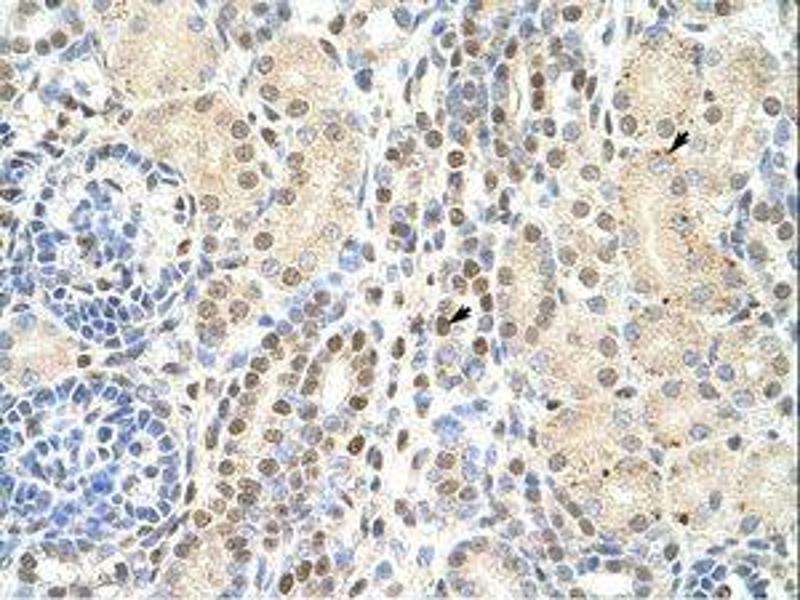
This 兔 多克隆 antibody specifically detects TMED4 in WB, IHC 和 IHC (p). It exhibits reactivity toward 人, 大鼠, Cow, 豚鼠, Pig 和 非洲爪蟾.
产品编号 ABIN202093
发货至: 中国
Contact our Customer Service for availability and price in your country. Contact Info

Our Local Distributor

中国
北京 101111
No. 88 KeChuang 6th Street
Beijing Economic Technological Development Area
Room 801-803
4A Biotech Co.,Ltd.
Tel +86 (0512) 65829739 传真 +86 (010) 6788 5057

Quick Overview for TMED4 抗体 (N-Term) (ABIN202093)

抗原

See all TMED4 抗体
TMED4 (Transmembrane Emp24 Protein Transport Domain Containing 4 (TMED4))

适用

  • 29
  • 20
  • 19
  • 4
  • 4
  • 3
  • 3
  • 3
  • 2
  • 2
  • 2
  • 2
  • 1
  • 1
人, 大鼠, Cow, 豚鼠, Pig, 非洲爪蟾

宿主

  • 33
  • 1

克隆类型

  • 35
多克隆

标记

  • 14
  • 2
  • 1
  • 1
  • 1
  • 1
  • 1
  • 1
  • 1
  • 1
  • 1
  • 1
  • 1
  • 1
  • 1
  • 1
  • 1
  • 1
  • 1
  • 1
  • 1
This TMED4 antibody is un-conjugated

应用范围

  • 26
  • 13
  • 13
  • 5
  • 4
  • 4
  • 3
  • 1
  • 1
  • 1
Western Blotting (WB), Immunohistochemistry (IHC), Immunohistochemistry (Paraffin-embedded Sections) (IHC (p))
You are here: