电话:
+86 (0512) 65829739
传真:
+86 (010) 6788 5057
电子邮件:
orders@antibodies-online.cn

SP140 抗体 (AA 39-88)

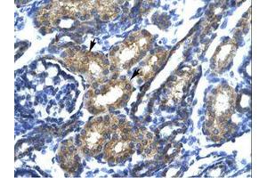
The 兔 多克隆 anti-SP140 antibody (ABIN202038) specifically detects SP140 in WB, IHC 和 IHC (p). The antibody is reactive with 人, 犬, 小鼠, 大鼠, 马 和 Pig samples.
产品编号 ABIN202038
发货至: 中国
Contact our Customer Service for availability and price in your country. Contact Info

Our Local Distributor

中国
北京 101111
No. 88 KeChuang 6th Street
Beijing Economic Technological Development Area
Room 801-803
4A Biotech Co.,Ltd.
Tel +86 (0512) 65829739 传真 +86 (010) 6788 5057

Quick Overview for SP140 抗体 (AA 39-88) (ABIN202038)

抗原

See all SP140 抗体
SP140 (SP140 Nuclear Body Protein (SP140))

适用

人, 犬, 小鼠, 大鼠, 马, Pig

宿主

  • 15
  • 4
  • 1
  • 1

克隆类型

  • 17
  • 4
多克隆

标记

  • 15
  • 2
  • 1
  • 1
  • 1
  • 1
This SP140 antibody is un-conjugated

应用范围

  • 18
  • 14
  • 12
  • 4
  • 4
  • 2
  • 1
  • 1
  • 1
Western Blotting (WB), Immunohistochemistry (IHC), Immunohistochemistry (Paraffin-embedded Sections) (IHC (p))
  • 抗原表位

    • 9
    • 2
    • 2
    • 2
    • 1
    • 1
    • 1
    • 1
    • 1
    • 1
    • 1
    • 1
    AA 39-88

    特异性

    Human SP140

    预测反应

    Percent identity by BLAST analysis: Human (100%) Dog, Horse, Pig (85%).

    纯化方法

    Protein A purified

    免疫原

    Synthetic peptide located between aa39-88 of human SP140 (Q13342, NP_001005176). Percent identity by BLAST analysis: Human, Chimpanzee, Gorilla (100%), Gibbon, Monkey, Marmoset (92%), Panda, Dog, Bat, Horse, Pig (85%), Mouse, Rat (76%).

    Type of Immunogen: Synthetic peptide

    亚型

    IgG
  • 应用备注

    Approved: IHC, IHC-P, WB (5 μg/mL)

    说明

    Target Species of Antibody: Human

    限制

    仅限研究用
  • 状态

    Lyophilized

    溶解方式

    dH2O

    浓度

    Lot specific

    缓冲液

    Lyophilized from PBS with 2 % sucrose

    注意事项

    Avoid repeat freeze-thaw cycles.

    储存条件

    4 °C,-20 °C

    储存方法

    Long term: -20°C, the use of 50% glycerol is recommended if storing aliquots in -20°C for long term use (up to 1 year)
    Short term (less than 1 week): 4°C. Avoid freeze-thaw cycles.
  • 抗原

    SP140 (SP140 Nuclear Body Protein (SP140))

    别名

    SP140

    背景

    Name/Gene ID: SP140

    Synonyms: SP140, Nuclear autoantigen Sp-140, Speckled 140 kDa, LYSP100, SP140 nuclear body protein, LYSP100-A, LYSP100-B, Nuclear body protein SP140

    基因ID

    11262

    NCBI登录号

    NP_001005176

    UniProt

    Q13342
You are here: