电话:
+86 (0512) 65829739
传真:
+86 (010) 6788 5057
电子邮件:
orders@antibodies-online.cn

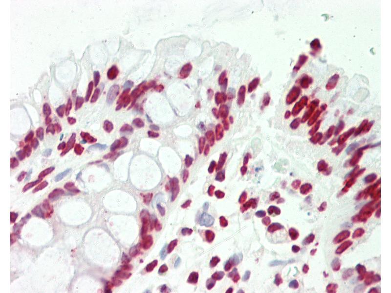
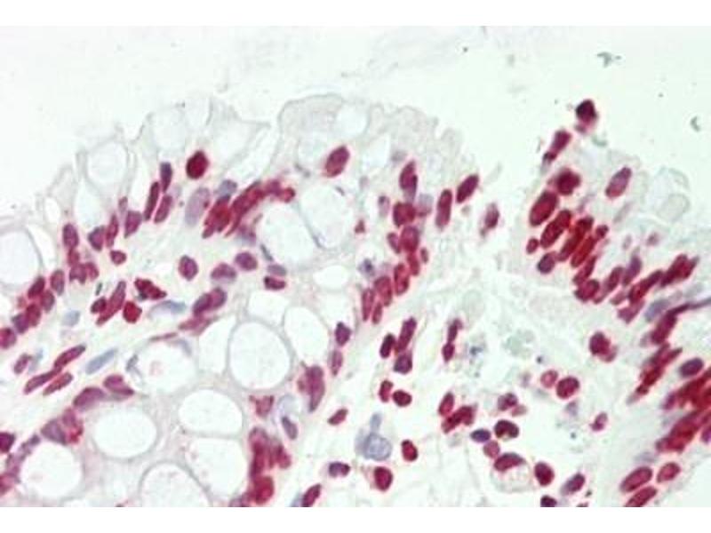
Cyclin L2 抗体 (AA 338-366)

The 兔 多克隆 anti-Cyclin L2 antibody is suitable to detect Cyclin L2 in samples from 人. It has been validated for WB, IHC 和 IHC (p).
产品编号 ABIN1977410
发货至: 中国
Contact our Customer Service for availability and price in your country. Contact Info

Our Local Distributor

中国
北京 101111
No. 88 KeChuang 6th Street
Beijing Economic Technological Development Area
Room 801-803
4A Biotech Co.,Ltd.
Tel +86 (0512) 65829739 传真 +86 (010) 6788 5057

Quick Overview for Cyclin L2 抗体 (AA 338-366) (ABIN1977410)

抗原

See all Cyclin L2 (CCNL2) 抗体
Cyclin L2 (CCNL2)

适用

  • 21
  • 8
  • 6
  • 3
  • 2
  • 2
  • 2
  • 2
  • 2
  • 2
  • 1
  • 1
  • 1
  • 1
  • 1

宿主

  • 23

克隆类型

  • 23
多克隆

标记

  • 18
  • 1
  • 1
  • 1
  • 1
  • 1
This Cyclin L2 antibody is un-conjugated

应用范围

  • 22
  • 11
  • 2
  • 1
  • 1
Western Blotting (WB), Immunohistochemistry (IHC), Immunohistochemistry (Paraffin-embedded Sections) (IHC (p))
  • 抗原表位

    • 9
    • 2
    • 2
    • 2
    • 2
    • 2
    • 2
    • 1
    • 1
    • 1
    • 1
    • 1
    AA 338-366

    特异性

    This CCNL2 antibody is generated from rabbits immunized with a KLH conjugated synthetic peptide between 338-366 amino acids from the Central region of human CCNL2.

    纯化方法

    Protein A purified
  • 应用备注

    Approved: IHC, IHC-P (1:75), WB (1:1000)

    说明

    Target Species of Antibody: Human

    限制

    仅限研究用
  • 状态

    Liquid

    浓度

    Lot specific

    缓冲液

    PBS, 0.09 % sodium azide

    储存液

    Sodium azide

    注意事项

    This product contains Sodium azide: a POISONOUS AND HAZARDOUS SUBSTANCE which should be handled by trained staff only.

    储存条件

    4 °C,-20 °C

    储存方法

    Maintain refrigerated at 2-8°C for up to 6 months. For long term storage store at -20°C.

    有效期

    6 months
  • 抗原

    Cyclin L2 (CCNL2)

    别名

    CCNL2 / Cyclin L2

    背景

    Name/Gene ID: CCNL2

    Synonyms: CCNL2, ANIA-6B, CCNM, Cyclin M, HLA-ISO, PCEE, SB138, Cyclin L2, Cyclin-L2, HCLA-ISO

    基因ID

    81669
You are here: