电话:
+86 (0512) 65829739
传真:
+86 (010) 6788 5057
电子邮件:
orders@antibodies-online.cn

GAP43 抗体 (Ser41)

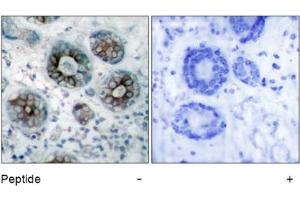
The 兔 多克隆 anti-GAP43 antibody is suitable to detect GAP43 in samples from 人, 大鼠 和 小鼠. It has been validated for WB, IF 和 IHC (p).
产品编号 ABIN197546
发货至: 中国
Contact our Customer Service for availability and price in your country. Contact Info

Our Local Distributor

中国
北京 101111
No. 88 KeChuang 6th Street
Beijing Economic Technological Development Area
Room 801-803
4A Biotech Co.,Ltd.
Tel +86 (0512) 65829739 传真 +86 (010) 6788 5057

Quick Overview for GAP43 抗体 (Ser41) (ABIN197546)

抗原

See all GAP43 抗体
GAP43 (Growth Associated Protein 43 (GAP43))

适用

  • 128
  • 127
  • 120
  • 17
  • 9
  • 8
  • 6
  • 6
  • 5
  • 4
  • 3
  • 3
  • 2
  • 1
  • 1
  • 1
  • 1
人, 大鼠, 小鼠

宿主

  • 119
  • 21
  • 5
  • 2
  • 2

克隆类型

  • 98
  • 51
多克隆

标记

  • 78
  • 6
  • 4
  • 4
  • 4
  • 4
  • 4
  • 4
  • 4
  • 4
  • 3
  • 2
  • 2
  • 2
  • 2
  • 2
  • 2
  • 2
  • 2
  • 2
  • 2
  • 2
  • 2
  • 2
  • 2
  • 2
This GAP43 antibody is un-conjugated

应用范围

  • 101
  • 58
  • 37
  • 35
  • 29
  • 27
  • 27
  • 25
  • 24
  • 23
  • 16
  • 1
Western Blotting (WB), Immunofluorescence (IF), Immunohistochemistry (Paraffin-embedded Sections) (IHC (p))
  • 抗原表位

    • 32
    • 16
    • 9
    • 7
    • 6
    • 4
    • 2
    • 2
    • 1
    • 1
    • 1
    • 1
    • 1
    • 1
    • 1
    • 1
    • 1
    • 1
    Ser41

    特异性

    This antibody detects endogenous levels of total GAP43 protein.

    纯化方法

    Immunoaffinity Chromatography using epitope-specific immunogen.

    免疫原

    The antiserum was produced against synthesized non-phosphopeptide derived from human GAP43 around the phosphorylation site of serine 41 (Q-A-Sp-F-R).
  • 应用备注

    Western blot: 1/500approx. 1/1000. Immunofluorescence: 1/100approx. 1/200. Immunohistochemistry on Paraffin-Embedded Sections: 1/50-1/100.
    Other applications not tested.
    Optimal dilutions are dependent on conditions and should be determined by the user.

    限制

    仅限研究用
  • 浓度

    1.0 mg/mL

    缓冲液

    PBS (without Mg2+ and Ca2+), pH 7.4, 150 mM NaCl, 0.02 % Sodium Azide and 50 % Glycerol.

    储存液

    Sodium azide

    注意事项

    This product contains sodium azide: a POISONOUS AND HAZARDOUS SUBSTANCE which should be handled by trained staff only.

    注意事项

    Avoid repeated freezing and thawing.

    储存条件

    -20 °C

    储存方法

    Store the antibody (in aliquots) at -20 °C.
  • 抗原

    GAP43 (Growth Associated Protein 43 (GAP43))

    别名

    GAP43

    背景

    GAP43 is expressed by developing and regenerating neurons, and to a lesser extent, reactive glial cells. It is used widely to specifically label injured neurons and to score neuronal regeneration. GAP43 is also a neuronal growth cone protein thought to be involved in pathfinding.Synonyms: Axonal membrane protein GAP-43, Growth-associated protein 43, Neural phosphoprotein B-50, Neuromodulin, PP46

    基因ID

    2596

    NCBI登录号

    NP_002036

    UniProt

    P17677
You are here: