电话:
+86 (0512) 65829739
传真:
+86 (010) 6788 5057
电子邮件:
orders@antibodies-online.cn

DAB1 抗体 (Tyr232)

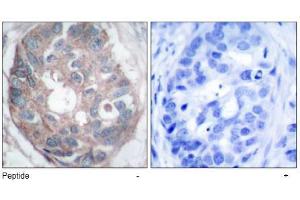
The 兔 多克隆 anti-DAB1 antibody (ABIN197508) specifically detects DAB1 in IHC (p). The antibody is reactive with 人, 大鼠 和 小鼠 samples.
产品编号 ABIN197508
发货至: 中国
Contact our Customer Service for availability and price in your country. Contact Info

Our Local Distributor

中国
北京 101111
No. 88 KeChuang 6th Street
Beijing Economic Technological Development Area
Room 801-803
4A Biotech Co.,Ltd.
Tel +86 (0512) 65829739 传真 +86 (010) 6788 5057

Quick Overview for DAB1 抗体 (Tyr232) (ABIN197508)

抗原

See all DAB1 抗体
DAB1 (Disabled Homolog 1 (Drosophila) (DAB1))

适用

  • 62
  • 60
  • 59
  • 4
  • 4
  • 3
  • 3
  • 3
  • 3
  • 2
  • 2
  • 1
人, 大鼠, 小鼠

宿主

  • 95
  • 3
  • 3

克隆类型

  • 100
  • 1
多克隆

标记

  • 46
  • 5
  • 5
  • 4
  • 3
  • 3
  • 3
  • 3
  • 3
  • 3
  • 3
  • 3
  • 3
  • 3
  • 3
  • 1
  • 1
  • 1
  • 1
  • 1
  • 1
  • 1
  • 1
This DAB1 antibody is un-conjugated

应用范围

  • 74
  • 41
  • 41
  • 34
  • 21
  • 18
  • 11
  • 11
  • 7
  • 6
  • 2
  • 2
  • 1
Immunohistochemistry (Paraffin-embedded Sections) (IHC (p))
  • 抗原表位

    • 16
    • 15
    • 15
    • 7
    • 5
    • 3
    • 3
    • 3
    • 2
    • 2
    • 2
    • 2
    • 2
    • 2
    • 1
    • 1
    • 1
    • 1
    • 1
    • 1
    • 1
    • 1
    • 1
    • 1
    • 1
    Tyr232

    特异性

    Dab1 antibody detects endogenous levels of total Dab1 protein.

    纯化方法

    The antibody was affinity-purified from rabbit antiserum by affinity-chromatography using epitope-specific immunogen

    免疫原

    The antiserum was produced against synthesized non-phosphopeptide derived from human Dab1around the phosphorylation site of tyrosine 232 (G-V-YP-D-V).
  • 应用备注

    Immunohistochemistry: 1: 50-1: 100.
    Other applications not tested.
    Optimal dilutions are dependent on conditions and should be determined by the user.

    限制

    仅限研究用
  • 浓度

    1.0 mg/mL

    缓冲液

    PBS (without Mg2+ and Ca2+), pH 7.4 containing 150 mM NaCl, 0.02 % sodium azide and 50 % glycerol

    储存液

    Sodium azide

    注意事项

    This product contains sodium azide: a POISONOUS AND HAZARDOUS SUBSTANCE which should be handled by trained staff only.

    注意事项

    Avoid repeated freezing and thawing.

    储存条件

    -20 °C
  • 抗原

    DAB1 (Disabled Homolog 1 (Drosophila) (DAB1))

    别名

    DAB1

    背景

    Disruption of DAB 1 (Disable 1) results in aberrant migration of neurons during development and disorganization of laminar structures throughout the brain. Dab1 is thought to function as an adaptor molecule in signal transduction processes. It contains a protein protein interaction (PI) similar to the phosphotyrosine binding domain of the Shc oncoprotein, it is phosphorylated by the Src protein tyrosine kinase, and it binds to SH2 binding domains in a phosphotyrosine dependent manner. DAB1 acts downstream of reelin in a signalling pathway.Synonyms: Disabled homolog 1

    基因ID

    1600

    NCBI登录号

    NP_066566

    UniProt

    O75553
You are here: