电话:
+86 (0512) 65829739
传真:
+86 (010) 6788 5057
电子邮件:
orders@antibodies-online.cn

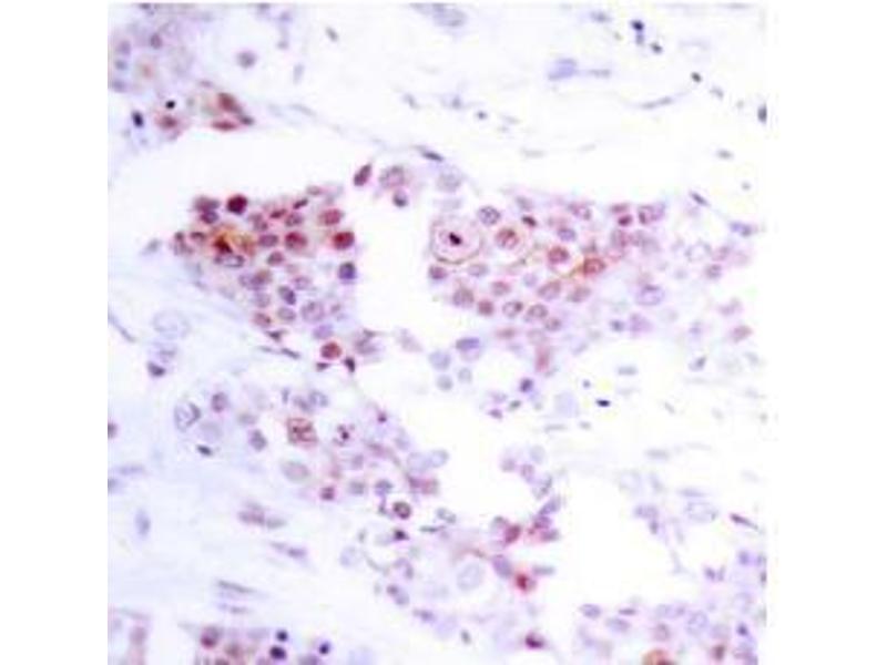
MEF2A 抗体 (Thr319)

The 兔 多克隆 anti-MEF2A antibody (ABIN197166) specifically detects MEF2A in IHC (p). The antibody is reactive with 人 和 小鼠 samples.
产品编号 ABIN197166
发货至: 中国
Contact our Customer Service for availability and price in your country. Contact Info

Our Local Distributor

中国
北京 101111
No. 88 KeChuang 6th Street
Beijing Economic Technological Development Area
Room 801-803
4A Biotech Co.,Ltd.
Tel +86 (0512) 65829739 传真 +86 (010) 6788 5057

Quick Overview for MEF2A 抗体 (Thr319) (ABIN197166)

抗原

See all MEF2A 抗体
MEF2A (Myocyte Enhancer Factor 2A (MEF2A))

适用

  • 146
  • 121
  • 105
  • 10
  • 9
  • 8
  • 8
  • 8
  • 6
  • 6
  • 5
  • 5
  • 4
  • 3
  • 2
  • 2
  • 1
人, 小鼠

宿主

  • 142
  • 7

克隆类型

  • 112
  • 37
多克隆

标记

  • 69
  • 8
  • 6
  • 6
  • 6
  • 6
  • 6
  • 6
  • 4
  • 4
  • 2
  • 2
  • 2
  • 2
  • 2
  • 2
  • 2
  • 2
  • 2
  • 2
  • 2
  • 2
  • 2
  • 1
  • 1
This MEF2A antibody is un-conjugated

应用范围

  • 111
  • 46
  • 38
  • 38
  • 27
  • 26
  • 25
  • 18
  • 8
  • 6
  • 3
  • 1
  • 1
  • 1
  • 1
Immunohistochemistry (Paraffin-embedded Sections) (IHC (p))
  • 抗原表位

    • 26
    • 23
    • 16
    • 8
    • 5
    • 4
    • 4
    • 4
    • 3
    • 3
    • 3
    • 2
    • 2
    • 1
    • 1
    • 1
    • 1
    • 1
    • 1
    • 1
    • 1
    • 1
    • 1
    • 1
    • 1
    • 1
    • 1
    • 1
    • 1
    • 1
    • 1
    • 1
    • 1
    Thr319

    特异性

    MEF2A antibody detects endogenous levels of total MEF2A protein.

    纯化方法

    Affinity-chromatography using epitope-specific immunogen

    免疫原

    The antiserum was produced against synthesized non-phosphopeptide derived from human MEF2A around the phosphorylation site of threonine 319 (V-T-TP-P-S).
  • 应用备注

    Immunohistochemistry: 1: 50approx. 1: 100.
    Other applications not tested.
    Optimal dilutions are dependent on conditions and should be determined by the user.

    限制

    仅限研究用
  • 浓度

    1.0 mg/mL

    缓冲液

    PBS(without Mg2+ and Ca2+), pH 7.4 containing 150 mM NaCl, 0.02 % sodium azide and 50 % glycerol

    储存液

    Sodium azide

    注意事项

    This product contains sodium azide: a POISONOUS AND HAZARDOUS SUBSTANCE which should be handled by trained staff only.

    注意事项

    Avoid repeated freezing and thawing.

    储存条件

    -20 °C
  • 抗原

    MEF2A (Myocyte Enhancer Factor 2A (MEF2A))

    别名

    MEF2A

    背景

    MEF2A (myocyte specific enhancer factor 2) belongs to a family of DNA binding regulatory proteins. The MEF2 family of transcription factors is highly expressed in the brain when neurons undergo dendritic maturation and synapse formation. MEF2A is especially abundant in granule neurons of the cerebellar cortex throughout the period of synaptogenesis. MEF2A also has key roles in cardiac and skeletal muscle development.Synonyms: MEF2, Myocyte-specific enhancer factor 2A, Serum response factor-like protein 1

    基因ID

    4205

    NCBI登录号

    NP_001124398

    UniProt

    Q02078

    途径

    Neurotrophin Signaling Pathway, Activation of Innate immune Response, Carbohydrate Homeostasis, Chromatin Binding, Regulation of Muscle Cell Differentiation, Toll-Like Receptors Cascades
You are here: