PDPK1 抗体 (Ser241)
Our Local Distributor
北京 101111
Quick Overview for PDPK1 抗体 (Ser241) (ABIN197100)
抗原
See all PDPK1 抗体适用
宿主
克隆类型
标记
应用范围
-
-
抗原表位
- Ser241
-
特异性
- PDK1 antibody detects endogenous levels of total PDK1 protein.
-
纯化方法
- Affinity chromatography
-
免疫原
- Synthetic non-phosphopeptide derived from human PDK1 around the phosphorylation site of serine 241(A-N-SP-F-V).
-
-
-
-
应用备注
-
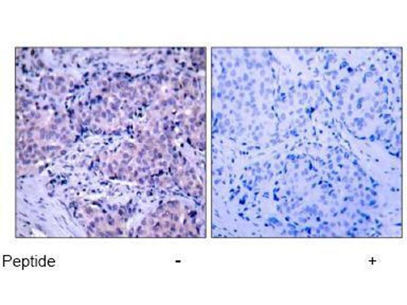
Western Blot: 1/500approx. 1/1000. Immunohistochemistry: 1/50approx. 1/100.
Other applications not tested.
Optimal dilutions are dependent on conditions and should be determined by the user. -
限制
- 仅限研究用
-
-
-
浓度
- 1.0 mg/mL
-
缓冲液
- PBS (without Mg2+ and Ca2+), pH 7.4 containing 150 mM NaCl, 0.02 % Sodium Azide as preservative and 50 % Glycerol as stabilizer.
-
储存液
- Sodium azide
-
注意事项
- This product contains sodium azide: a POISONOUS AND HAZARDOUS SUBSTANCE which should be handled by trained staff only.
-
注意事项
- Avoid repeated freezing and thawing.
-
储存条件
- -20 °C
-
储存方法
- Store the antibody undiluted (in aliquots) at -20 °C.
-
-
- PDPK1 (3-phosphoinositide Dependent Protein Kinase-1 (PDPK1))
-
别名
- PDPK1
-
背景
- Phosphorylates and activates not only PKB/AKT, but also PKA, PKC-zeta, RPS6KA1 and RPS6KB1. May play a general role in signaling processes and in development (By similarity). Isoform 3 is catalytically inactive.Synonyms: 3-phosphoinositide-dependent proteinkinase 1, PDK-1, PDK1, PDPK1, hPDK1
-
基因ID
- 5170
-
NCBI登录号
- NP_002604
-
UniProt
- O15530
-
途径
- PI3K-Akt Signaling, TCR Signaling, Fc-epsilon Receptor Signaling Pathway, EGFR Signaling Pathway, Neurotrophin Signaling Pathway, Regulation of Leukocyte Mediated Immunity, Positive Regulation of Immune Effector Process, Cell-Cell Junction Organization, Regulation of Cell Size, Skeletal Muscle Fiber Development, CXCR4-mediated Signaling Events, Signaling Events mediated by VEGFR1 and VEGFR2, VEGFR1 Specific Signals
抗原
-