电话:
+86 (0512) 65829739
传真:
+86 (010) 6788 5057
电子邮件:
orders@antibodies-online.cn

Cofilin 抗体 (pSer3)

This anti-Cofilin antibody is a 兔 多克隆 antibody detecting Cofilin in WB, IF 和 IHC (p). Suitable for 人, 小鼠 和 大鼠.
产品编号 ABIN196855
发货至: 中国

Quick Overview for Cofilin 抗体 (pSer3) (ABIN196855)

抗原

See all Cofilin (CFL1) 抗体
Cofilin (CFL1) (Cofilin 1 (CFL1))

适用

  • 140
  • 91
  • 89
  • 7
  • 5
  • 5
  • 4
  • 1
  • 1
  • 1
  • 1
人, 小鼠, 大鼠

宿主

  • 139
  • 17
  • 2
  • 1

克隆类型

  • 139
  • 19
多克隆

标记

  • 78
  • 11
  • 10
  • 7
  • 7
  • 6
  • 3
  • 3
  • 3
  • 3
  • 3
  • 3
  • 3
  • 3
  • 3
  • 3
  • 3
  • 1
  • 1
  • 1
  • 1
  • 1
  • 1
  • 1
This Cofilin antibody is un-conjugated

应用范围

  • 81
  • 61
  • 55
  • 47
  • 41
  • 41
  • 37
  • 28
  • 22
  • 13
  • 12
  • 7
  • 3
  • 3
  • 3
  • 2
  • 1
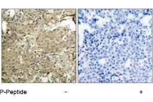
Western Blotting (WB), Immunofluorescence (IF), Immunohistochemistry (Paraffin-embedded Sections) (IHC (p))
  • 抗原表位

    • 18
    • 16
    • 16
    • 15
    • 13
    • 11
    • 7
    • 7
    • 7
    • 5
    • 5
    • 2
    • 2
    • 2
    • 2
    • 2
    • 2
    • 2
    • 1
    • 1
    • 1
    • 1
    • 1
    • 1
    • 1
    • 1
    • 1
    • 1
    • 1
    • 1
    • 1
    • 1
    • 1
    pSer3

    特异性

    This antibody detects endogenous levels of Cofilin only when phosphorylated at Serine 3.

    纯化方法

    Affinity Chromatography using epitope-specific phosphopeptide. The antibody against non-phosphopeptide was removed by chromatography using non-phosphopeptide corresponding to the phosphorylation site.

    免疫原

    The antiserum was produced against synthesized phosphopeptide derived from Human Cofilin around the phosphorylation site of serine 3 (M-A-Sp-G-V).
  • 应用备注

    Western Blot: 1/500-1/1000. Immunofluorescence: 1/100-1/200. Immunohistochemistry on Paraffin Sections: 1/50-1/100.
    Other applications not tested.
    Optimal dilutions are dependent on conditions and should be determined by the user.

    限制

    仅限研究用
  • 浓度

    1.0 mg/mL

    缓冲液

    PBS (without Mg2+ and Ca2+), pH 7.4, 150 mM NaCl, 0.02 % Sodium Azide and 50 % Glycerol.

    储存液

    Sodium azide

    注意事项

    This product contains sodium azide: a POISONOUS AND HAZARDOUS SUBSTANCE which should be handled by trained staff only.

    注意事项

    Avoid repeated freezing and thawing.

    储存条件

    -20 °C

    储存方法

    Store the antibody (in aliquots) at -20 °C.
  • 抗原

    Cofilin (CFL1) (Cofilin 1 (CFL1))

    别名

    Cofilin-1

    背景

    Cofilin is a small phosphoinositide sensitive, actin binding protein capable of depolymerizing actin filaments in vitro. Under certain conditions, it fragments the filaments and accelerates actin subunit dissociation from their 'pointed' (minus) ends. Cofilin binds stoichiometrically to monomeric G-actin and to actin protomers in filaments in an apparent pH -dependent, Ca2+- independent manner. Cofilin intercalates between longitudinally associated actin monomers within the filament and distorts its helical twist. Cofilin is ubiquitous in tissues of eukaryotes and is especially abundant in neuronal tissues. It is essential for viability and is important for many cellular processes involving actin remodeling such as motility at the leading edge of cells, polarized cell growth, endocytosis, phagocytosis, cellular activation, cytokinesis, and pathogen intracellular motility.Synonyms: 18 kDa phosphoprotein, CFL, CFL1, Cofilin non-muscle isoform, p18

    基因ID

    1072

    NCBI登录号

    NP_005498

    UniProt

    P23528

    途径

    Regulation of Cell Size, Tube Formation, Protein targeting to Nucleus, CXCR4-mediated Signaling Events
You are here:
Chat with us!