XPNPEP2 抗体 (AA 198-476)
Our Local Distributor
北京 101111
Quick Overview for XPNPEP2 抗体 (AA 198-476) (ABIN1948991)
抗原
See all XPNPEP2 抗体适用
宿主
克隆类型
标记
应用范围
-
-
抗原表位
- AA 198-476
-
特异性
- Human XPNPEP2
-
纯化方法
- Immunoaffinity purified
-
免疫原
-
Recombinant fragment corresponding to a region within amino acids 198 and 476 of XPNPEP2 (SwissProt O43895).
Type of Immunogen: Recombinant protein -
亚型
- IgG
-
-
-
-
应用备注
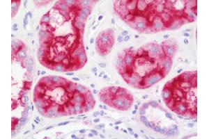
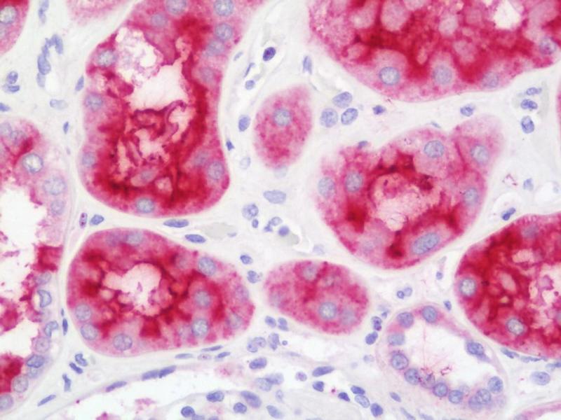
- Approved: IHC, IHC-P (7.5 μg/mL)
-
说明
-
Target Species of Antibody: Human
-
限制
- 仅限研究用
-
-
-
状态
- Liquid
-
浓度
- Lot specific
-
缓冲液
- 0.1 M Tris-glycine, pH 7.0, 10 % glycerol, 0.01 % Thimerosal
-
储存液
- Thimerosal (Merthiolate)
-
注意事项
- This product contains Thimerosal (Merthiolate): a POISONOUS AND HAZARDOUS SUBSTANCE which should be handled by trained staff only.
-
注意事项
- Avoid multiple freeze-thaw cycles.
-
储存条件
- -20 °C
-
储存方法
- Keep as concentrated solution. Aliquot and store at -20°C or below. Avoid multiple freeze-thaw cycles.
-
-
- XPNPEP2 (X-Prolyl Aminopeptidase (Aminopeptidase P) 2, Membrane-Bound (XPNPEP2))
-
别名
- XPNPEP2
-
背景
-
Name/Gene ID: XPNPEP2
Subfamily: Metallopeptidase M24B
Family: Protease
Synonyms: XPNPEP2, APP2, MAmP, Membrane-bound APP, X-prolyl aminopeptidase 2, Xaa-Pro aminopeptidase 2, X-Pro aminopeptidase 2, Membrane-bound AmP -
基因ID
- 7512
抗原
-