电话:
+86 (0512) 65829739
传真:
+86 (010) 6788 5057
电子邮件:
orders@antibodies-online.cn

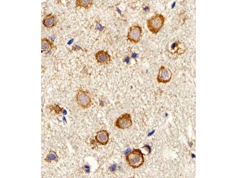
Myosin 抗体 (AA 654-668)

This 兔 多克隆 antibody specifically detects Myosin in WB 和 IHC (p). It exhibits reactivity toward 人.It has been mentioned in 1 publication
产品编号 ABIN1944769
发货至: 中国
Contact our Customer Service for availability and price in your country. Contact Info

Our Local Distributor

中国
北京 101111
No. 88 KeChuang 6th Street
Beijing Economic Technological Development Area
Room 801-803
4A Biotech Co.,Ltd.
Tel +86 (0512) 65829739 传真 +86 (010) 6788 5057

Quick Overview for Myosin 抗体 (AA 654-668) (ABIN1944769)

抗原

See all Myosin 抗体
Myosin

适用

  • 31
  • 10
  • 7
  • 4
  • 3
  • 1
  • 1
  • 1
  • 1

宿主

  • 25
  • 8

克隆类型

  • 25
  • 8
多克隆

标记

  • 19
  • 2
  • 2
  • 2
  • 1
  • 1
  • 1
  • 1
  • 1
  • 1
  • 1
  • 1
This Myosin antibody is un-conjugated

应用范围

  • 17
  • 15
  • 11
  • 7
  • 5
  • 3
  • 3
  • 1
  • 1
Western Blotting (WB), Immunohistochemistry (Paraffin-embedded Sections) (IHC (p))

克隆位点

RB47185
  • 抗原表位

    • 5
    • 3
    • 2
    • 1
    • 1
    • 1
    • 1
    • 1
    • 1
    • 1
    AA 654-668

    预测反应

    M

    纯化方法

    This antibody is purified through a protein A column, followed by peptide affinity purification.

    免疫原

    This MYH14 antibody is generated from a rabbit immunized with a KLH conjugated synthetic peptide between 654-668 amino acids from the Central region of human MYH14.

    亚型

    Ig Fraction
  • 应用备注

    WB: 1:1000. IHC-P: 1:25. IHC-P: 1:25

    限制

    仅限研究用
  • 状态

    Liquid

    缓冲液

    Purified polyclonal antibody supplied in PBS with 0.09 % (W/V) sodium azide.

    储存液

    Sodium azide

    注意事项

    This product contains Sodium azide: a POISONOUS AND HAZARDOUS SUBSTANCE which should be handled by trained staff only.

    储存条件

    4 °C,-20 °C

    有效期

    6 months
  • Leal, Endele, Stengel, Huehne, Loetterle, Barrantes, Winterpacht, Rautenstrauss: "A novel myosin heavy chain gene in human chromosome 19q13.3." in: Gene, Vol. 312, pp. 165-71, (2003) (PubMed).

  • 抗原

    Myosin

    别名

    MYH14

    背景

    Cellular myosin that appears to play a role in cytokinesis, cell shape, and specialized functions such as secretion and capping (By similarity).

    分子量

    227871

    基因ID

    79784

    UniProt

    Q7Z406
You are here: