电话:
+86 (0512) 65829739
传真:
+86 (010) 6788 5057
电子邮件:
orders@antibodies-online.cn

CSNK2A1/CK II alpha 抗体 (AA 250-284)

This 兔 多克隆 antibody specifically detects CSNK2A1/CK II alpha in WB 和 IHC (p). It exhibits reactivity toward 人. It has been mentioned in 2+ publications
产品编号 ABIN1944742
发货至: 中国
Contact our Customer Service for availability and price in your country. Contact Info

Our Local Distributor

中国
北京 101111
No. 88 KeChuang 6th Street
Beijing Economic Technological Development Area
Room 801-803
4A Biotech Co.,Ltd.
Tel +86 (0512) 65829739 传真 +86 (010) 6788 5057

Quick Overview for CSNK2A1/CK II alpha 抗体 (AA 250-284) (ABIN1944742)

抗原

See all CSNK2A1/CK II alpha (CSNK2A1) 抗体
CSNK2A1/CK II alpha (CSNK2A1) (Casein Kinase 2 alpha 1 (CSNK2A1))

适用

  • 99
  • 68
  • 65
  • 7
  • 6
  • 6
  • 4
  • 4
  • 4
  • 3
  • 3
  • 3
  • 2
  • 2
  • 2
  • 2
  • 2
  • 1

宿主

  • 93
  • 6

克隆类型

  • 79
  • 20
多克隆

标记

  • 57
  • 6
  • 5
  • 4
  • 2
  • 2
  • 2
  • 2
  • 2
  • 2
  • 1
  • 1
  • 1
  • 1
  • 1
  • 1
  • 1
  • 1
  • 1
  • 1
  • 1
  • 1
  • 1
  • 1
  • 1
This CSNK2A1/CK II alpha antibody is un-conjugated

应用范围

  • 85
  • 39
  • 37
  • 11
  • 10
  • 9
  • 7
  • 5
  • 2
  • 2
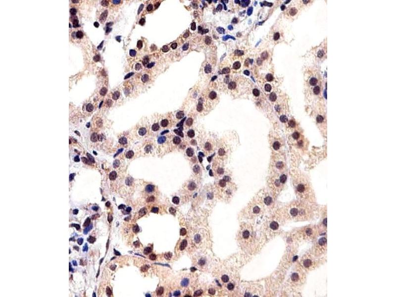
Western Blotting (WB), Immunohistochemistry (Paraffin-embedded Sections) (IHC (p))

克隆位点

RB48211
  • 抗原表位

    • 10
    • 10
    • 7
    • 6
    • 4
    • 4
    • 3
    • 3
    • 3
    • 3
    • 2
    • 2
    • 2
    • 1
    • 1
    • 1
    • 1
    • 1
    • 1
    • 1
    • 1
    • 1
    • 1
    • 1
    • 1
    • 1
    • 1
    • 1
    • 1
    • 1
    • 1
    • 1
    • 1
    AA 250-284

    预测反应

    B, C, M, Rb, Rat, X, E

    纯化方法

    This antibody is purified through a protein A column, followed by peptide affinity purification.

    免疫原

    This CSNK2A1 antibody is generated from a rabbit immunized with a KLH conjugated synthetic peptide between 250-284 amino acids from the Central region of human CSNK2A1.

    亚型

    Ig Fraction
  • 应用备注

    WB: 1:1000. IHC-P: 1:25. IHC-P: 1:25. IHC-P: 1:25

    限制

    仅限研究用
  • 状态

    Liquid

    缓冲液

    Purified polyclonal antibody supplied in PBS with 0.09 % (W/V) sodium azide.

    储存液

    Sodium azide

    注意事项

    This product contains Sodium azide: a POISONOUS AND HAZARDOUS SUBSTANCE which should be handled by trained staff only.

    储存条件

    4 °C,-20 °C

    有效期

    6 months
  • Devilat, Carvallo: "Structure and sequence of an intronless gene for human casein kinase II-alpha subunit." in: FEBS letters, Vol. 316, Issue 2, pp. 114-8, (1993) (PubMed).

    Lozeman, Litchfield, Piening, Takio, Walsh, Krebs: "Isolation and characterization of human cDNA clones encoding the alpha and the alpha' subunits of casein kinase II." in: Biochemistry, Vol. 29, Issue 36, pp. 8436-47, (1991) (PubMed).

  • 抗原

    CSNK2A1/CK II alpha (CSNK2A1) (Casein Kinase 2 alpha 1 (CSNK2A1))

    别名

    CSNK2A1

    背景

    Catalytic subunit of a constitutively active serine/threonine-protein kinase complex that phosphorylates a large number of substrates containing acidic residues C-terminal to the phosphorylated serine or threonine. Regulates numerous cellular processes, such as cell cycle progression, apoptosis and transcription, as well as viral infection. May act as a regulatory node which integrates and coordinates numerous signals leading to an appropriate cellular response. During mitosis, functions as a component of the p53/TP53-dependent spindle assembly checkpoint (SAC) that maintains cyclin-B-CDK1 activity and G2 arrest in response to spindle damage. Also required for p53/TP53-mediated apoptosis, phosphorylating 'Ser-392' of p53/TP53 following UV irradiation. Can also negatively regulate apoptosis. Phosphorylates the caspases CASP9 and CASP2 and the apoptotic regulator NOL3. Phosphorylation protects CASP9 from cleavage and activation by CASP8, and inhibits the dimerization of CASP2 and activation of CASP8. Regulates transcription by direct phosphorylation of RNA polymerases I, II, III and IV. Also phosphorylates and regulates numerous transcription factors including NF-kappa-B, STAT1, CREB1, IRF1, IRF2, ATF1, SRF, MAX, JUN, FOS, MYC and MYB. Phosphorylates Hsp90 and its co-chaperones FKBP4 and CDC37, which is essential for chaperone function. Regulates Wnt signaling by phosphorylating CTNNB1 and the transcription factor LEF1. Acts as an ectokinase that phosphorylates several extracellular proteins. During viral infection, phosphorylates various proteins involved in the viral life cycles of EBV, HSV, HBV, HCV, HIV, CMV and HPV. Phosphorylates PML at 'Ser-565' and primes it for ubiquitin- mediated degradation.

    分子量

    45144

    基因ID

    1457

    UniProt

    P68400

    途径

    SARS-CoV-2 Protein Interactome
You are here: